RELATO DE CASO

 

Anestesia e Manejo da Dor Pós-Operatória Associada à Técnica de Monitorização Neurofisiológica em Oncopediatria: Relato de Caso

Anesthesia and Postoperative Pain Management Associated with the Neurophysiological Monitoring Technique in Pediatric Oncology: Case Report

Anestesia y Manejo del Dolor Postoperatorio Asociado a la Técnica de Monitoreo Neurofisiológico en Oncología Pediátrica: Informe de Caso

 

 

https://doi.org/10.32635/2176-9745.RBC.2023v69n4.4023

 

Flavia Claro da Silva1; Vanderson Carvalho Neri2; Filipe Sarto de Sousa3; Arovel Oliveira Moura Junior4; Simone de Oliveira Coelho5; Ricardo Vianna de Carvalho6; Fabiola Caó de Barros Moreno7

 

1Instituto Nacional de Câncer (INCA). Universidade Federal do Estado do Rio de Janeiro (Unirio), Programa de Pós-graduação em Neurologia. Rio de Janeiro (RJ), Brasil. E-mail: fla_claro@hotmail.com. Orcid iD: https://orcid.org/0009-0001-1885-3963

2Hospital Federal da Lagoa. Unirio, Programa de Pós-graduação em Neurologia. Rio de Janeiro (RJ), Brasil. E-mail: vandersoncn@gmail.com. Orcid iD: https://orcid.org/0000-0002-9493-6349

 3Neurological Clínica Médica. Rio de Janeiro (RJ), Brasil. E-mail: sartofilipe@gmail.com. Orcid iD: https://orcid.org/0000-0002-6726-8955

4-7INCA. Rio de Janeiro (RJ), Brasil. E-mails: arouvelmourajr@gmail.com; simonecoelho2004@gmail.com; ricardovianna1968@gmail.com; fabíola@me.com. Orcid ID: https://orcid.org/0000-0002-5266-9844; Orcid iD: https://orcid.org/0000-0001-8477-1985; https://orcid.org/0000-0002-3768-8289; Orcid iD: https://orcid.org/0009-0006-1132-8986

 

Endereço para correspondência: Flavia Claro da Silva. Praça Cruz Vermelha, 23, 9º andar – Centro. Rio de Janeiro (RJ), Brasil. CEP 20230-130. E-mail: fla_claro@hotmail.com

 

 

RESUMO

Introdução: O neuroblastoma é o tumor maligno sólido extracraniano mais comum na infância. Entre seis e dez milhões de crianças são identificadas com essa doença por ano. O tratamento cirúrgico, que envolve a ressecabilidade tumoral, é fator decisivo na estratégia terapêutica desses pacientes, com evidente influência no prognóstico da doença. Relato do caso: Lactente submetido à anestesia geral e a bloqueio de nervo periférico para ressecção de neuroblastoma com monitorização neurofisiológica intraoperatória (MNIO). Como estratégia anestésica, foi realizado o bloqueio do plano do eretor da espinha (ESP Block) associado à técnica de analgesia multimodal visando ao controle da dor. A dor pós-operatória foi avaliada por meio da Children’s and Infants’ Postoperative Pain Scale (CHIPPS). Conclusão: A MNIO, apesar de restringir as técnicas anestésicas, tem se firmado como uma importante ferramenta para monitorar as funções neurológicas durante as abordagens cirúrgicas com envolvimento do sistema nervoso central, com a finalidade de evitar danos permanentes de importantes estruturas. A interação e a comunicação de toda a equipe são de suma importância nos resultados pós-operatórios.

Palavras-chave: neuroblastoma; dor pós-operatória; oncologia cirúrgica.

 

 

ABSTRACT

Introduction: Neuroblastoma is the most common non-central nervous system in childhood. From six to ten million children are identified with this disease annually. Surgical treatment, which involves tumor resectability, is a decisive factor in the therapeutic strategy of these patients, with clear influence on disease’s prognosis. Case report: Nursling submitted to general anesthesia and peripheral nerve block for neuroblastoma surgical resection with intraoperative neurophysiological monitoring (IONM) and spinal erector plane block (ESP), associated with the multimodal analgesia technique for pain control. The postoperative pain was evaluated using the Children’s and Infants’ Postoperative Pain Scale (CHIPPS). Conclusion: IONM has established itself as an important tool to monitor neurological functions during surgical approaches with involvement of the central nervous system, in order to avoid permanent damage to important structures. The interaction and communication of the entire team are of paramount importance in the postoperative results.

Key words: neuroblastoma; pain, postoperative; surgical oncology.

 

 

RESUMEN

Introducción: Neuroblastoma es el tumor maligno sólido extracraneano más común en la infancia. Entre seis y diez millones de niños son identificados con esta enfermedad por año. El tratamiento quirúrgico, que implica la resecabilidad tumoral, es un factor decisivo en la estrategia terapéutica de estos pacientes, con una influencia evidente en el pronóstico. Informe del caso: Lactante sometido a anestesia general y bloqueo nervioso periférico para resección de neuroblastoma con monitoreo neurofisiológico intraoperatorio (MNIO). Como estrategia anestésica, para resección del neuroblastoma, se realizó bloqueo del plano erector espinal (Bloqueo ESP), asociado a la técnica de analgesia multimodal para controlar el dolor. El dolor postoperatorio se evaluó mediante la Children’s and Infants’ Postoperative Pain Scale (CHIPPS). Conclusión: La MNIO, a pesar de restringir las técnicas anestésicas, se ha posicionado como una importante herramienta para monitorear las funciones neurológicas durante los abordajes quirúrgicos que involucran al sistema nervioso central, con el fin de evitar daños permanentes a estructuras importantes. La interacción y la comunicación de todo el equipo son de suma importancia en los resultados posoperatorios.

Palabras clave: neuroblastoma; dolor postoperatorio; oncologia quirúrgica.

 

 

INTRODUÇÃO

O neuroblastoma é o tumor maligno sólido extracraniano mais comum na infância com uma prevalência de 1/100 mil casos por ano. A incidência encontra-se em torno de 7% dos casos anuais de câncer na infância, com uma média de idade de diagnóstico aos 15 meses de vida1. Entre seis e dez milhões de crianças são identificadas com essa doença anualmente2. A ressecabilidade tumoral assim como o estadiamento são fatores decisivos na estratégia terapêutica inicial desses pacientes.

 

O tratamento cirúrgico pode resultar em futuras complicações importantes como disfunção urinária, sexual e anorretal. A monitorização neurofisiológica intraoperatória (MNIO) vem se tornando uma popular estratégia para se prevenir tais complicações cirúrgicas nas ressecções desses tumores retroperitoneais2.

 

Os princípios da recuperação acelerada pós-operatória consistem em reduzir o impacto fisiológico negativo sobre o organismo, bem como a resposta ao estresse após a cirurgia e, assim, melhorar a recuperação, diminuir as taxas de complicações e encurtar o tempo das internações hospitalares. Com base nessas afirmativas, a sociedade Enhanced Recovery After Surgery (ERAS)3 desenvolveu uma série de recomendações e diretrizes formadas após a revisão das evidências disponíveis por grupos de trabalho de especialistas.

 

A técnica anestésica de analgesia multimodal vem ganhando cada vez mais destaque nos últimos anos. Dentro do arsenal de medicamentos, para a analgesia multimodal, podem ser citados: anti-inflamatórios não esteroidais (Aines), anticonvulsivantes, analgésicos comuns (acetaminofeno e dipirona), opioides, antagonistas dos receptores N-Metil D-aspartato (NMDA), alfa-2 agonistas e anestésicos locais4.

 

A queixa álgica desses pacientes é frequentemente subtratada, o que pode impactar de maneira negativa não só no período pós-operatório como também na vida adulta.

 

Os dados foram coletados por meio do prontuário médico após aprovação pelo Comitê de Ética em Pesquisa do Instituto Nacional de Câncer (INCA) sob o número de parecerparecer 2464820 (CAAE: 74205517.3.0000.5274), em atendimento à Resolução n.º 466/125 do Conselho Nacional de Saúde para pesquisas com seres humanos. O objetivo do presente estudo é relatar o caso do manejo anestésico per e pós-operatório imediato de um paciente lactente portador de neuroblastoma, cujo procedimento cirúrgico foi realizado em conjunto com a MNIO.

 

RELATO DO CASO

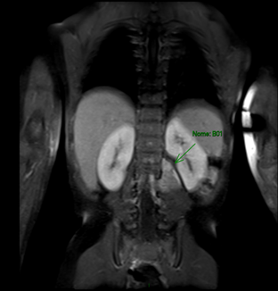
Paciente, sexo masculino, 11 meses, 10 kg, com diagnóstico de neuroblastoma e quadro clínico inicial de parestesia em membros inferiores, apresentando massa com invasão de canal medular em L1-L3, N-myc negativo, em tratamento pelo protocolo proposto pelo Children’s Oncology Group (COG) Intermediate Risk (RI)6 (Figura 1). Foi então definida a programação cirúrgica e realizada a aquisição multisequencial e multiplanar, antes e após a administração do meio de contraste, corte coronal (14/07/22). A seta verde evidencia a neoplasia.

 

Figura 1. Ressonância magnética de abdômen pré-operatória

Fonte: INCA7.

 

 

A abordagem cirúrgica ocorreu após oito ciclos de quimioterapia neoadjuvante e liberação de risco cirúrgico de acordo com a American Society of Anesthesiologists (ASA, classificação II)8. O paciente foi submetido à laparotomia exploradora com identificação de tumor retroperitoneal paravertebral de aproximadamente 4 x 2 cm, com extensão para o forame vertebral, na altura do hilo renal esquerdo, com linfonodos retroperitoneais em hilo renal esquerdo. Além disso, foi realizada a ressecção de aproximadamente mais de 95% da lesão, com uso de eletroneuroestimulação em julho de 2022.

 

A monitorização, pela anestesia, foi realizada com cardioscopia, pressão arterial não invasiva, oximetria de pulso, capnografia e pressão arterial invasiva em artéria radial. A indução e a manutenção anestésica foram realizadas com fentanil (4 mcg/kg) + lidocaína 1% (3 mg/kg) + propofol (3 mg/kg) para procedimento de intubação orotraqueal. Dexametasona (0,15 mg/kg) + cetamina (0,5 mg/ml) associada à dexmedetomidina (2 mcg/ml) em bomba infusora (0,2 mcg/kg/h a 0,5 mcg/kg/h) + dipirona (40 mg/kg) + ondansetrona (0,15 mg/kg) também foram utilizadas no peroperatório. A manutenção foi realizada com sevoflurano (1 CAM).

 

A MNIO foi realizada sob a técnica de potencial evocado motor (PEM), com estímulo elétrico transcraniano (Figura 2), captação nos músculos dos membros superiores e inferiores e potencial evocado somatossensitivo (PESS) dos membros superiores e inferiores. Realizou-se eletroneuromiografia livre e estimulada com captação nos músculos correspondentes aos níveis C8-T1, L1-L2, L2-L3, L-4-L5, L5-S1 e esfíncter anal direito e esquerdo, e eletroencefalograma. Durante a ressecção tumoral, não houve redução das amplitudes do PEM nos membros inferiores. Ao final do procedimento cirúrgico, as respostas evocadas motoras estavam semelhantes às obtidas no pré-operatório.

 

Terminada a abordagem cirúrgica, foi realizado o bloqueio do plano eretor da espinha bilateral (ESP Block) com ropivacaína 0,3%, 10 ml. A analgesia pós-operatória foi realizada com dipirona (50 mg/kg) de seis em seis horas, e morfina (0,1 mg/kg) de quatro em quatro horas, intravenosa.

 

A avaliação da dor pós-operatória foi realizada por meio da Children’s and Infants’ Postoperative Pain Scale9 (CHIPPS), validada e traduzida para o português do Brasil, em crianças dessa faixa etária. Essa escala foi aplicada nas 48 horas de pós-operatório, no período do final da manhã e do final da tarde, do primeiro e do segundo dia de pós-operatório.

 

Transcorridos quatro meses do ato operatório relatado, o paciente retornou ao ambulatório de oncologia pediátrica e se encontrava deambulando, com funções fisiológicas presentes e sem nenhuma queixa álgica (CHIPPS = 0).

 

Figura 2. Paciente com os eletrodos da MNIO posicionados

Fonte: INCA7.

 

 

DISCUSSÃO

A MNIO tem se firmado como uma importante ferramenta para monitorar as funções neurológicas durante as abordagens cirúrgicas com envolvimento do sistema nervoso. Essa atividade pode auxiliar o cirurgião a detectar e prevenir danos neurológicos que podem se tornar irreparáveis como incontinência urinária, fecal e alterações de locomoção, sendo raros os casos de ressecção de tumores abdominais e/ou pélvicos em pacientes pediátricos10.

 

A atuação do anestesiologista deve ser restrita em relação a várias medicações e técnicas utilizadas na anestesia quando realizada a MNIO, pois muitas delas podem influenciar os seus resultados. Deve haver interação com o neurofisiologista para que se obtenha um bom controle da dor e um bom desfecho pós-operatório; essas situações são um grande desafio para o manejo do ato anestésico. Logo, o registro neurofisiológico não deve suplantar a técnica anestésica, nem esta deverá impedir os registros, exceto em condições de urgência ou diante de intercorrências que possam surgir.

 

É sabido do importante papel da anestesia peridural nas cirurgias abdominais de grande porte11, entretanto essa técnica não deve ser utilizada durante a monitorização neurofisiológica, em virtude da interferência nos resultados. Kain et al.12, em um estudo publicado em 1993, sobre manejo anestésico de crianças com neuroblastoma, demonstraram que apenas 20 pacientes tinham menos de 1 ano de idade. As técnicas anestésicas desse período, até o momento, já sofreram inúmeras modificações, inclusive com a inserção dos bloqueios de nervo periférico como estratégia no controle da dor pós-operatória, atualmente inseridos no mais recente guideline da ASA13.

 

O adequado manejo da dor pós-operatória na criança deve ser prioridade no planejamento cirúrgico desses pacientes. Um inadequado controle da queixa álgica pode desencadear complicações como pneumonia, trombose venosa profunda, infecções, atraso na alta hospitalar e início do desenvolvimento de um processo de dor crônica14. Por esses motivos, existe uma necessidade premente no sentido de otimizar o manejo e o tratamento da sensação dolorosa para que sejam evitadas essas queixas de forte intensidade.

 

O bloqueio de nervo periférico, como o ESP Block, associado à analgesia multimodal, parece ser uma boa alternativa como analgesia pós-operatória e manutenção da anestesia nessas situações de restrição de medicamentos anestésicos15. Estudos prospectivos, randomizados e cegos devem, pois, ser incentivados com o objetivo do aprimoramento e consolidação desse tipo de bloqueio, para que se torne um importante armamento no arsenal de técnicas anestésicas da analgesia multimodal.

 

A análise dos dados da literatura sugere que o tratamento cirúrgico do neuroblastoma certamente possa ser realizado com maior segurança quando em associação à MNIO. Esta é crucial para que, no desfecho pós-operatório, sejam minimizadas e/ou evitadas sequelas neurológicas como disfunção anorretal, sexual, urinária e motoras que podem se tornar permanentes.

 

Conforme demonstraram Tognonet al.16, apesar do constante progresso e avanço tecnológico no tratamento do neuroblastoma, os eventos anestésico e cirúrgico permanecem como peças-chave para o sucesso terapêutico nessa patologia desafiadora. O conhecimento dos pontos críticos e estruturais complexos dos procedimentos anestésicos são de grande utilidade para os profissionais de saúde inseridos no contexto da oncologia, para que se obtenha uma redução da morbimortalidade na qualidade dos cuidados. Uma boa comunicação da equipe médica proporcionará uma melhora da qualidade de vida desses pacientes.

 

CONCLUSÃO

O caso descrito demonstra que o manejo anestésico e o controle da dor, aliados à técnica cirúrgica eleita, são fundamentais. Uma adequada avaliação e o tratamento da queixa dolorosa – tarefas difíceis em crianças –, são imperativos quando se buscam desfechos favoráveis no tratamento em oncologia. A MNIO é uma importante ferramenta para monitorizar as funções neurológicas durante as abordagens cirúrgicas, estando o anestesiologista restrito ao uso de suas técnicas anestésicas. Isso é o maior desafio para o bom controle da dor, que está intimamente relacionado ao bom desfecho pós-operatório.

 

Além disso, estudos multicêntricos devem ser estimulados, em razão dos poucos registros disponíveis, para a otimização dos manejos pré, per e pós-operatórios.

 

AGRADECIMENTOS

Ao Sistema Integrado de Bibliotecas e à Divisão de Avaliação de Tecnologias em Saúde, ambos do INCA, assim como àqueles que contribuíram de alguma forma para a conclusão desta pesquisa.

 

 

CONTRIBUIÇÕES

Todos os autores contribuíram substancialmente na concepção e/ou no planejamento do estudo; na análise e/ou interpretação dos dados; na redação e/ou revisão crítica; e aprovaram a versão final a ser publicada.

 

 

DECLARAÇÃO DE CONFLITO DE INTERESSES

Nada a declarar.

 

 

FONTES DE FINANCIAMENTO

Não há.

 

 

REFERÊNCIAS

1. La Quaglia MP. State of the art in oncology: high risk neuroblastoma, alveolar rhabdomyosarcoma, desmoplastic small round cell tumour, and post-text 3 and 4 hepatoblastoma. J Pediatri Surg. 2014;49(2):233-40. doi: https://doi.org/10.1016/j.jpedsurg.2013.11.029

2. Crocoli A, Martucci C, Randi F, et al. Intraoperative neuromonitoring for pediatric pelvic tumors. Front Pediatrics. 2022;30(10):1-6. doi: https://doi.org/10.3389/fped.2022.949037

3. Beverly A, Kaye AD, Ljungqvist O, et al. Essential elements of multimodal analgesia in enhanced recovery after surgery (ERAS) guidelines. Anesthesiol Clin. 2017;35(Supl 1):S40-5. doi: https://doi.org/10.1016/j.anclin.2017.01.018

4. Gritsenko K, Khelemsky Y, Kaye AD, et al. Multimodal therapy in perioperative analgesia. Best Pract Res Clin Anaesthesiol. 2014;28(1):59-79. doi: https://doi.org/10.1016/j.bpa.2014.03.001

5. Conselho Nacional de Saúde (BR). Resolução n° 466, de 12 de dezembro de 2012. Aprova as diretrizes e normas regulamentadoras de pesquisas envolvendo seres humanos. Diário Oficial da União, Brasília, DF. 2013 jun 13; Seção I:59.

6. Baker DL, Schmidt ML, Cohn SL, et al. Outcome after reduced chemotherapy for intermediate-risk neuroblastoma. New Eng J Med 2010;363:1313-23. doi: https://doi.org/10.1056/NEJMoa1001527

7. Instituto Nacional de Câncer. Imagens radiológicas. 2022 nov 16. Repositório Institucional Ninho [Internet]. [acesso 2023 fev 20]. Disponível em: https://ninho.inca.gov.br/jspui/

8. American Society of Anesthesiologists. [internet]. Washington, DC: ASA; 2014. Asa Physycal Status Classification System. 2014 out 15. [Atualizado 2020 dez 13, acesso 2023 fev 20]. Disponível em: https://www.asahq.org/standards-and-guidelines/asa-physical-status-classification-system

9. Alves MM, Carvalho PRA, Wangner MB, et al. Cross-validation of the children's and infants' postoperative pain scale in brazilian children. Pain Practice. 2008;8(3):171-6. doi: https://doi.org/10.1111/j.1533-2500.2008.00192.x

10. Simon MV. Intaroperative neurophysiology: a comprehensive guide to monitoring and mapping. 2. ed. Nova York: Demos Medical Publishing; 2009. 

11. Warmann SW, Lag S, Fideler F, et al. Perioperative epidural analgesia in children undergoing major abdominal tumor surgery-a single center experience. J Pediatr Surg. 2014;49(4):551-5. doi: https://doi.org/10.1016/j.jpedsurg.2013.10.025

12. Kain ZN, Shamberg RS, Holzman RS. Anesthesic management of children with neuroblastoma. J Clin Anest. 1993;5(6):486-91. doi: https://doi.org/10.1016/0952-8180(93)90066-n

13. Chou R. Gordon DB, Leon-Casasola OA, et al. Management of postoperative pain: a clinical practice guideline from the American Pain Society, the American Society of Regional Anesthesia and Pain Medicine, and the American Society of Anesthesiologists' Committee on Regional Anesthesia, Executive Committee, and Administrative Council. J Pain. 2016;17(2):131-57. doi: https://doi.org/10.1016/j.jpain.2015.12.008

14. Silva FC, Santos Thuler LC, Leon-Casasola AO. Validity and reliability of two pain assessment tools in brazilian children and adolescents. J Clinical Nursing. 2011;20(13-14):1842-8. doi: https://doi.org/10.1111/j.1365-2702.2010.03662.x

15. Forero M, Adhikary SD, Lopez H, et al. The erector spinae plane block: a novel analgesic technique in thoracic neuropathic pain. Reg Anesth Pain Med. 2016;41(5):6217. doi: https://doi.org/10.1097/AAP.0000000000000451

16. Tognon C, Rebecca Pulvirenti R, Federica Fati F, et al. Anesthesia in children with neuroblastoma, perioperative and operative management. Children (Basel). 2021;8(5):395. doi: https://doi.org/10.3390/children8050395

 

 

Recebido em 18/5/2023

Aprovado em 16/10/2023

 

Editora-científica: Anke Bergmann. Orcid iD: https://orcid.org/0000-0002-1972-8777

 

 

 

image001

Este é um artigo publicado em acesso aberto (Open Access) sob a licença Creative Commons Attribution, que permite uso, distribuição e reprodução em qualquer meio, sem restrições, desde que o trabalho original seja corretamente citado.

 

©2019 Revista Brasileira de Cancerologia | Instituto Nacional de Câncer | Ministério da Saúde