RELATO DE CASO
Abordagem Cirúrgica e Prognóstico de Glioblastoma em Cerebelo: Estudo de Caso em Paciente Idosa
Surgical Approach and Prognosis of Glioblastoma in the Cerebellum: Case Study of an Older Patient
Enfoque Quirúrgico y Pronóstico del Glioblastoma en el Cerebelo: Estudio de un Caso en una Paciente de Edad Avanzada
Caio Marcelo Spadafora da Silva1; Karen Christine da Silva2; Cássio Neves da Silva Sousa3; Nathalia Bacci Castilho4; Wilkie Azevêdo Machado5; Felipe Miguel de Almeida6; Carlos Tadeu Parisi de Oliveira7
1-7Universidade São Francisco, Hospital Universitário São Francisco de Assis. Bragança Paulista (SP), Brasil.
1E-mail: caio.spadafora@hotmail.com. Orcid iD: https://orcid.org/0009-0005-7980-6756
2E-mail: karen.christine@mail.usf.edu.br. Orcid iD: https://orcid.org/0000-0002-6326-0243
3E-mail: cassioneves7@gmail.com. Orcid iD: https://orcid.org/0009-0009-9160-8700
4E-mail: nathcastilho21@gmail.com. Orcid iD: https://orcid.org/0009-0007-8593-8469
5E-mail: wilkie_livras9@hotmail.com. Orcid iD: https://orcid.org/0000-0003-2568-4077
6E-mail: felipem.almeida@gmail.com. Orcid iD: https://orcid.org/0009-0008-2525-197X
7E-mail: tadeuparisi@terra.com.br. Orcid iD: https://orcid.org/0009-0005-5758-9826
Endereço para correspondência: Karen Christine da Silva. Av. São Francisco de Assis, Taboão s/nº - Cidade Universitária. Bragança Paulista (SP), Brasil. CEP 12916-542. E-mail: karen.christine@mail.usf.edu.br
RESUMO
Introdução: Glioblastomas são tumores cerebrais malignos de alta agressividade e são raramente localizados no cerebelo. Este relato descreve um caso raro de glioblastoma cerebelar, contribuindo para a literatura nacional ao abordar as características clínicas, diagnósticas e terapêuticas do caso. Relato do caso: Mulher, 75 anos, atendida no Hospital Universitário São Francisco de Assis, apresentando sintomas iniciais de tontura e desequilíbrio, com rápida progressão em 20 dias. Exames de imagem, incluindo tomografia e ressonância magnética, evidenciaram uma grande lesão sólido-cística no hemisfério cerebelar direito, com características de necrose e intenso realce pós-contraste. A paciente foi submetida a uma cirurgia de ressecção total da lesão, com boa recuperação inicial e ausência de tumor residual no pós-operatório imediato. Foi monitorada na unidade de tratamento intensivo e recebeu alta no oitavo dia pós-operatório. O exame anatomopatológico, complementado pela imuno-histoquímica, confirmou o diagnóstico de glioblastoma grau 4 IDH-wildtype. A paciente foi encaminhada para tratamento adjuvante com radioterapia (28 sessões) e quimioterapia (fazendo uso de temozolamida). A paciente evoluiu para óbito 14 meses após o procedimento cirúrgico. Conclusão: O presente relato contribui para a literatura nacional sobre glioblastoma de cerebelo, enfatizando a importância do diagnóstico precoce, ressecção cirúrgica total e acompanhamento adequado, além de destacar a necessidade de relatórios regionais que considerem as particularidades clínicas e epidemiológicas do Brasil.
Palavras-chave: Glioblastoma; Neoplasias Encefálicas/cirurgia; Detecção Precoce de Câncer.
ABSTRACT
Introduction: Glioblastomas are highly aggressive malignant brain tumors and are rarely located in the cerebellum. This case report describes a rare case of cerebellar glioblastoma, contributing to the national literature by addressing the clinical, diagnostic, and therapeutic characteristics of the case. Case report: A 75-year-old woman was admitted to the Hospital Universitário São Francisco de Assis presenting initial symptoms of dizziness and imbalance, with rapid progression over 20 days. Imaging studies, including computed tomography and magnetic resonance imaging, revealed a large solid-cystic lesion in the right cerebellar hemisphere, with necrotic features and intense post-contrast enhancement. The patient underwent total surgical resection of the lesion, achieving good initial recovery and no residual tumor on immediate postoperative imaging. She was monitored at the intensive care unit and discharged on the eighth postoperative day. The histopathological examination, complemented by immunohistochemistry, confirmed the diagnosis of grade 4 glioblastoma IDH-wildtype. The patient was referred for adjuvant treatment with radiotherapy (28 sessions) and chemotherapy (using temozolomide). The patient passed away 14 months after the surgical procedure. Conclusion: This report contributes to the national literature on cerebellar glioblastoma, emphasizing the importance of early diagnosis, total surgical resection, and proper follow-up, while also highlighting the need for regional studies that consider Brazil’s clinical and epidemiological specificities.
Key words: Glioblastoma; Brain Neoplasms/surgery; Early Detection of Cancer.
RESUMEN
Introducción: Los glioblastomas son tumores cerebrales malignos altamente agresivos y raramente se localizan en el cerebelo. Este informe describe un caso raro de glioblastoma cerebeloso, contribuyendo a la literatura nacional al abordar las características clínicas, diagnósticas y terapéuticas del caso. Informe del caso: Mujer, 75 años, atendida en el Hospital Universitario São Francisco de Assis con síntomas iniciales de mareo y desequilibrio, con una rápida progresión en 20 días. Los estudios de imagen, incluyendo tomografía computarizada y resonancia magnética, evidenciaron una gran lesión sólido-quística en el hemisferio cerebeloso derecho, con características de necrosis y un intenso realce post-contraste. La paciente fue sometida a una resección quirúrgica total de la lesión, logrando una buena recuperación inicial y sin tumor residual en las imágenes posoperatorias inmediatas. Fue monitoreada en la unidad de cuidados intensivos y dada de alta al octavo día posoperatorio. El examen anatomopatológico, complementado con inmunohistoquímica, confirmó el diagnóstico de glioblastoma de grado 4 IDH sin mutación. La paciente fue remitida para tratamiento adyuvante con radioterapia (28 sesiones) y quimioterapia (utilizando temozolamida). La paciente falleció 14 meses después del procedimiento quirúrgico. Conclusión: Este informe contribuye a la literatura nacional sobre glioblastoma cerebeloso, enfatizando la importancia del diagnóstico temprano, la resección quirúrgica total y un seguimiento adecuado, además de destacar la necesidad de informes regionales que consideren las particularidades clínicas y epidemiológicas del Brasil.
Palabras clave: Glioblastoma; Neoplasias Encefálicas/cirugía; Detección Precoz del Cáncer.
INTRODUÇÃO
O glioblastoma é o tumor cerebral maligno mais comum e agressivo, correspondendo a aproximadamente 15% de todos os cânceres do sistema nervoso central (SNC). No Brasil, estima-se a ocorrência de cerca de 11 mil novos casos de câncer do SNC anualmente. No entanto, o glioblastoma localizado no cerebelo é uma apresentação extremamente rara, representando menos de 1% dos casos intracranianos. Caracteriza-se por um rápido crescimento local, com disseminação frequente para o tronco encefálico e leptomeninges próximas, sendo associado a um prognóstico desfavorável1-3. Até 1987, apenas 13 casos foram documentados de glioblastoma localizado no cerebelo em adultos. O 14º caso foi reportado por Levine et al.4, envolvendo uma paciente de 80 anos, idade distinta da média reportada até o momento (i.e 53 anos). O estudo de Oliveira et al. 5 discute que, no brasil, tumores malignos do SNC são predominantes no cérebro (91,5%), afetando principalmente adultos entre 40 e 64 anos, sendo mais comuns em homens, exceto os tumores das meninges, mais frequentes em mulheres. A maior incidência ocorre no Sudeste do país, com taxas relativamente estáveis de 2000 a 2015. Diferenças regionais refletem variabilidades no diagnóstico e subnotificação, destacando a necessidade de estratégias para melhorar o manejo e o prognóstico.
Apesar da incidência apresentada, o glioblastoma cerebelar em brasileiros dificilmente se encontra reportado na literatura. Lobão et al.6 descreveram um caso clínico de um homem brasileiro de 65 anos com diagnóstico de glioblastoma cerebelar. O paciente apresentou sintomas como cefaleia, confusão mental, hemiparesia esquerda, ataxia de marcha e tronco, além de dismetria, que evoluíram ao longo de cinco meses. Seu histórico médico incluía um evento isquêmico cerebral anterior sem sequelas permanentes, uma laparotomia de emergência em razão de uma úlcera gástrica hemorrágica e ectasia aórtica.
Este relato descreve um caso de glioblastoma cerebelar em uma mulher idosa no Brasil, possivelmente o primeiro registrado no país, destacando-se pela sua raridade e pelo contexto clínico distinto. A apresentação detalhada dos achados clínicos e radiológicos visa contribuir para o entendimento desse tumor raro, enfatizando sua relevância no diagnóstico diferencial de lesões cerebelares em idosos.
O projeto foi submetido e aprovado pelo Comitê de Ética em Pesquisa (CEP) sob o número de parecer 7047626 (CAAE: 81757024.0.0000.5514), com deliberação realizada na reunião do dia 29/8/2024, de acordo com a Resolução n.º 466/20127 do Conselho Nacional de Saúde.
Mulher, 75 anos, admitida no Hospital Universitário São Francisco de Assis no dia 22 de julho de 2023 com tontura e desequilíbrio de início há 20 dias. Ao exame físico, observaram-se ataxia de marcha, dismetria, disdiadococinesia e nistagmo horizontal. Foi submetida à triagem infectometabólica não apresentando alteração em exames laboratoriais. Foi então submetida à tomografia computadorizada de crânio sem contraste que evidenciou área de hipodensidade em hemisfério cerebelar à direita com efeito de massa sobre o IV ventrículo e apagamento das folhas cerebelares. Para afastar a possibilidade de metástase, foi realizado screening oncológico que se mostrou negativo para outras neoplasias.
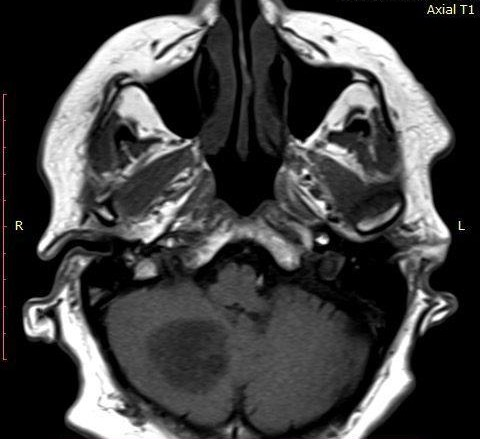
A ressonância magnética de crânio evidenciou grande lesão sólido-cística no corpo medular do cerebelo à direita, com efeito expansivo significativo (Figura 1).
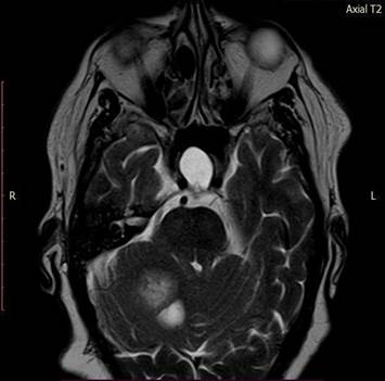
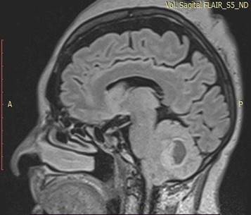
A lesão, com dimensões 30,9x32,0x36,4, apresentou hipersinal em T2 (Figura 2) e FLAIR (Figura 3), hipossinal em T2, depósitos de hemossiderina nas bordas, área de restrição à difusão e intenso realce pós-contraste na porção sólida. As áreas císticas sugerem alto grau de necrose.
Iniciou-se o uso de dexametasona 4 mg de 6 em 6 horas para tratamento de edema vasogênico presente, evoluindo com melhora sintomática, tendo realizado procedimento cirúrgico 72 horas após admissão no serviço. Para a realização do procedimento, a paciente foi submetida à anestesia geral e posicionada em decúbito lateral (¾ prona), com lateralização parcial para a esquerda e cabeça lateralizada 90º para a direita, visando facilitar o acesso à região da fossa posterior. O procedimento iniciou-se com uma incisão paramediana na região da fossa posterior, com limites sobre a linha do ínion e arco de C1, para exposição da fossa posterior. Realizou-se craniotomia, com limites sobre o seio transverso direito superiormente e o seio sigmoide lateralmente, para acesso ao cerebelo. A dura-máter foi aberta em forma de Y, sendo rebatida sobre o seio transverso superior e o sigmoide lateral inferior. Utilizou-se o microscópio cirúrgico para a ressecção de lesão expansiva intracraniana. Inicialmente, foi feita corticectomia na região do hemisfério cerebelar direito, observando-se uma lesão acinzentada com conteúdo cístico cítrico. Em seguida, procedeu-se à dissecção progressiva da lesão expansiva, com limites mal definidos em relação ao tecido cerebral, apresentando uma área friável, acinzentada e com vasos trombosados. A lesão foi removida por completo, não se visualizando microscopicamente tecido anormal no leito cirúrgico, sempre priorizando a preservação das estruturas cerebelares adjacentes e a função neurológica. O material removido foi enviado para análise anatomopatológica, uma vez que não se dispunham de congelação em sala e imuno-histoquímica. A cirurgia teve duração de 5 horas e 30 minutos, sem complicações e sem perda sanguínea significativa, não sendo necessária a transfusão de hemoderivados.
No pós-operatório, a paciente foi transferida para a Unidade de Terapia Intensiva (UTI) objetivando vigilância neurológica em condições estáveis. Nas primeiras 24 horas, manteve sinais vitais dentro dos parâmetros normais e não apresentou novos déficits neurológicos. Foi mantido o manejo com corticosteroide (dexametasona 4 mg de 12 em 12 horas para controle de edema cerebral), antibioticoterapia profilática (cefuroxima – 3 doses) e analgésicos. A tomografia computadorizada com contraste pós-operatória foi realizada nas primeiras 24 horas, confirmando a ausência de resíduo tumoral macroscópico.
A paciente permaneceu em observação na UTI neurológica e, após 48 horas, foi transferida para a enfermaria, recebendo alta no 8º dia pós-operatório com discreta tontura e ausência de alterações motoras. O resultado do anatomopatológico e imuno-histoquímica (Figura 4) evidenciou neoplasia hipercelular composta por células arredondadas a poligonais e fusiformes atípicas, com figuras de mitose e necrose. Além de proliferação microvascular, apresenta expressão de Olig2 e GFAP, o que indica a histogênese glial da neoplasia, com imunofenótipo IDH-1 negativo, portanto, sendo compatível com glioblastoma grau 4 IDH-wildtype, de acordo com a 5a edição da Classificação de Tumores do Sistema Nervoso Central da WHO8.
A paciente seguiu em acompanhamento no ambulatório para tratamento adjuvante, sendo submetida à radioterapia (30 sessões de 2 Gy por dia, totalizando 60 Gy) no período de 15/8/2023 a 13/9/2023, concomitante à quimioterapia com temozolomida na dose de 75 mg/m². Após a conclusão da radioterapia, foram administrados ciclos de quimioterapia com temozolomida no esquema 5/28 (5 dias de tratamento seguidos por 23 dias de descanso), totalizando oito ciclos. Houve interrupção de três ciclos, sendo um em virtude da leucopenia significativa (leucócitos: 376) e dois, da plaquetopenia (<50.000 plaquetas).
Faleceu em decorrência de complicações da doença, evoluindo com perda progressiva do performance status e quadro de infecção respiratória, que progrediu para sepse de foco pulmonar, 14 meses após a cirurgia.
Este relato de caso destaca a importância do diagnóstico precoce e da abordagem cirúrgica agressiva no tratamento de lesões cerebelares, como glioblastoma cerebelar, com ressecção total da lesão apresentando resultados positivos.
É importante comparar os resultados do presente estudo com outro caso brasileiro, pois as características epidemiológicas, clínicas e terapêuticas podem variar significativamente entre populações diferentes e estudos nacionais proporcionam uma compreensão mais precisa das particularidades do manejo e do desfecho do glioblastoma cerebelar dentro do contexto brasileiro. O presente caso de uma mulher de 75 anos com glioblastoma cerebelar apresenta diferenças clínicas, radiológicas e terapêuticas relevantes em relação ao relato de Lobão et al.6, envolvendo um homem de 65 anos.
Do ponto de vista clínico, a paciente apresentou sintomas iniciais de tontura e desequilíbrio com rápida progressão em 20 dias, enquanto o caso de 2008 incluiu cefaleia, confusão mental e sintomas neurológicos complexos que evoluíram ao longo de cinco meses. Radiologicamente, o atual relato revelou uma lesão sólido-cística no hemisfério cerebelar direito, ao passo que Lobão et al.6 descreveram uma massa heterogênea e infiltrativa no vermis cerebelar, envolvendo estruturas críticas como o tronco encefálico.
As abordagens terapêuticas também diferiram significativamente. No caso atual, a ressecção total foi possível, com boa recuperação inicial e ausência de resíduo tumoral pós-operatório. Já no relato de 2008, a infiltração em estruturas críticas limitou a cirurgia a uma ressecção subtotal, resultando em tumor residual e recorrência local após seis meses. Essas diferenças ressaltam a importância do diagnóstico precoce e de uma avaliação anatômica detalhada para otimizar o tratamento.
A sobrevida no glioblastoma cerebelar é reconhecidamente baixa, com taxas de recorrência elevadas, como observado no caso de Lobão et al.6, no qual o paciente apresentou progressão tumoral precoce. Neste caso, a ressecção total inicial pode representar um fator prognóstico favorável, possivelmente contribuindo para um maior controle local da doença. Entretanto, a ausência de tratamento adjuvante pode comprometer esse benefício, conforme demonstrado por estudos prévios que associam a radioterapia e a quimioterapia a uma melhora na sobrevida.
Ambos os casos evidenciam os desafios diagnósticos e a alta taxa de recorrência do glioblastoma cerebelar, como o relato de Lobão et al.6, que enfatiza a importância da radioterapia complementar, e o presente caso sugerindo o potencial benefício de uma ressecção total para controle local do tumor.
Este estudo contribui para o entendimento do glioblastoma cerebelar em uma população sub-representada, fornecendo dados regionais e destacando a importância de estratégias individualizadas de manejo. As diferenças observadas entre os casos ressaltam a necessidade de ampliar a literatura sobre essa condição, com relatos que explorem fatores prognósticos, terapias complementares e impacto da localização tumoral nos desfechos clínicos.
Este relato de caso enfatiza a relevância do diagnóstico precoce e da ressecção cirúrgica total no manejo de lesões cerebelares malignas, especialmente em pacientes idosos. A intervenção realizada foi bem-sucedida, com a paciente apresentando recuperação inicial satisfatória e sem evidência de tumor residual. Este caso contribui para o entendimento das particularidades do tratamento dessas lesões em faixas etárias avançadas e reforça a importância de abordagens terapêuticas adequadas e personalizadas para otimizar os resultados e a qualidade de vida dos pacientes. O acompanhamento contínuo e a definição de terapias complementares, como a radioterapia e quimioterapia, são essenciais para o controle em longo prazo.
AGRADECIMENTOS
À Universidade São Francisco e ao Hospital Universitário São Francisco de Assis pelo suporte.
CONTRIBUIÇÕES
Caio Marcelo Spadafora contribuiu na concepção e no planejamento do estudo; na obtenção, análise e interpretação dos dados, na redação e revisão crítica. Karen Christine da Silva contribuiu na obtenção, análise e interpretação dos dados; e na redação. Cássio Neves da Silva Sousa, Nathalia Bacci Castilho, Wilkie Azevêdo Machado e Felipe Miguel de Almeida contribuíram substancialmente na obtenção, análise e interpretação dos dados. Carlos Tadeu Parisi de Oliveira contribuiu na concepção e no planejamento do estudo; na obtenção, análise e interpretação dos dados; e na revisão crítica. Todos os autores aprovaram a versão final a ser publicada.
DECLARAÇÃO DE CONFLITO DE INTERESSES
Nada a declarar.
FONTES DE FINANCIAMENTO
Não há.
REFERÊNCIAS
1. Adams H, Chaichana KL, Avendaño J, et al. Adult cerebellar glioblastoma: understanding survival and prognostic factors using a population-based database from 1973 to 2009. World neurosurg. 2013;80(6):e237-43. doi: https://doi.org/10.1016/j.wneu.2013.02.010
2. Babu R, Sharma R, Karikari IO, et al. Outcome and prognostic factors in adult cerebellar glioblastoma. J Clin Neurosci. 2013;20(8):1117-21. doi: https://doi.org/10.1016/j.jocn.2012.12.006
3. Picart T, Barritault M, Berthillier J, et al. Characteristics of cerebellar glioblastomas in adults. J Neurooncol. 2018;136(3):555-63. doi: https://doi.org/10.1007/s11060-017-2682-7
4. Levine SA, McKeever PE, Greenberg, H. S. Primary cerebellar glioblastoma multiforme. J Neurooncol. 1987;5(3):231-6. doi: https://doi.org/10.1007/bf00151226
5. Oliveira LL, Bergmann A, Thuler LCS. Trends in the incidence of malignant central nervous system tumors in Brazil, 2000-2015. Neurooncol Pract. 10(1):34-40. doi: https://doi.org/10.1093/nop/npac063
6. Lobão CA, Barbosa AS, Nogueira J, et al. Cerebellar glioblastoma mutiforme in an adult. Arq Neuropsiquiatr. 2008:66(4):879-880. doi: https://doi.org/10.1590/s0004-282x2008000600020
7. Conselho Nacional de Saúde (BR). Resolução n° 466, de 12 de dezembro de 2012. Aprova as diretrizes e normas regulamentadoras de pesquisas envolvendo seres humanos. Diário Oficial da União, Brasília, DF. 2013 jun 13; Seção I:59.
8. World Health Organization. Classification of Tumours of the Central Nervous System. 5. ed. Lyon: International Agency for Research on Cancer; 2021.
Recebido em 13/1/2025
Aprovado em 7/4/2025
Editora-científica: Anke Bergmann. Orcid iD: https://orcid.org/0000-0002-1972-8777

Figura 1. Ressonância magnética de crânio axial T1

Figura 2. Ressonância magnética de crânio axial T2

Figura 3. Sagital FLAIR

Figura 4. Lâmina imuno-histológica do tumor, com coloração por hematoxilina-eosina e marcação para GFAP
![]()
Este é um artigo publicado em acesso aberto (Open Access) sob a licença Creative Commons Attribution, que permite uso, distribuição e reprodução em qualquer meio, sem restrições, desde que o trabalho original seja corretamente citado.