RELATO DE CASO
Achado Incidental de Tumor Neuroendócrino de Apêndice durante Exploração Laparoscópica para Endometriose Profunda: Relato de Caso
Incidental Finding of Appendiceal Neuroendocrine Tumor during Laparoscopic Exploration for Deep Endometriosis: Case Report
Hallazgo Incidental de Tumor Neuroendocrino en Apéndice durante Exploración Laparoscópica por Endometriosis Profunda: Informe de Caso
https://doi.org/10.32635/2176-9745.RBC.2025v71n3.5128
Renan Martins Lopes¹; Levi Goyanna de Moura²; Gabriel Sampaio Feitosa3; Santino Alves da Silva Filho4; Danielle Calheiros Campelo Maia5; José Walter Feitosa Gomes6
¹Universidade Estadual do Ceará (Uece). Fortaleza (CE), Brasil. E-mail: ren4nmartins2018@gmail.com. Orcid iD: https://orcid.org/0000-0002-2105-4820
2,6Instituto Dr. José Frota (IJF). Fortaleza (CE), Brasil. E-mails: levigmoura@hotmail.com; jwalterfeitosa@yahoo.com.br. Orcid iD: https://orcid.org/0009-0003-6223-4603; Orcid iD: https://orcid.org/0000-0002-7969-4927
3Universidade Federal do Ceará (UFC). Fortaleza (CE), Brasil. E-mail: gabriel.sampaio@alu.ufc.br. Orcid iD: https://orcid.org/0009-0003-0834-3366
4Núcleo de Medicina Pélvica Feminina (Numpef). Fortaleza (CE), Brasil. E-mail: drsantinoalves@gmail.com. Orcid iD: https://orcid.org/0009-0004-1854-7212
5Pronutrir. Fortaleza (CE), Brasil. E-mail: oncologia.danielle@gmail.com. Orcid iD: https://orcid.org/0009-0006-9915-0106
Endereço para correspondência: Renan Martins Lopes. Av. Dr. Silas Munguba, 1700 – Itaperi. Fortaleza (CE), Brasil. CEP 60714-903. E-mail: ren4nmartins2018@gmail.com
RESUMO
Introdução: A endometriose é uma das doenças ginecológicas mais prevalentes, afetando de 7% a 10% das mulheres em idade reprodutiva. Consiste na presença de glândulas endometriais e estroma fora da cavidade uterina, e a forma profunda é a mais grave. Os tumores neuroendócrinos gastrointestinais são raros, mas estão entre as neoplasias mais comuns do apêndice cecal, sendo mais comuns em mulheres. O objetivo deste artigo é descrever um caso raro no qual, com base na videolaparoscopia para endometriose profunda, foi feito o diagnóstico incidental de um tumor neuroendócrino no apêndice. Relato do caso: Paciente do sexo feminino, 44 anos, submetida à videolaparoscopia para controle de endometriose profunda. Optou-se pela ressecção dos focos de endometriose associados à apendicectomia em razão de um achado durante a exploração intestinal. O paciente apresentou-se estável no pós-operatório, sem complicações. No exame anatomopatológico (apêndice cecal), foi constatado um tumor neuroendócrino bem diferenciado (grau 1), pT1, medindo 0,5 cm em seu maior diâmetro, com margens livres, sem invasão linfovascular. Conclusão: Este caso reforça a importância de uma avaliação completa da cavidade peritoneal, incluindo o apêndice, durante a laparoscopia em pacientes com endometriose.
Palavras-chave: Tumores Neuroendócrinos/cirurgia; Endometriose; Laparoscopia; Apendicectomia.
ABSTRACT
Introduction: Endometriosis is one of the most prevalent gynecological diseases, affecting 7 to 10% of women at a reproductive age. It consists of endometrial glands and stroma growing outside the uterine cavity, the deepest is the most harmful. Gastrointestinal neuroendocrine tumors are rare, but they are one of the most common neoplasms of the cecal appendix, being more common in women. The objective of this article is to describe a rare case in which, during a videolaparoscopy for deep endometriosis, an incidental appendiceal neuroendocrine tumor was found. Case report: A 44-year-old female patient underwent a videolaparoscopy to control deep endometriosis. It was decided to perform a resection of endometriosis foci associated with appendectomy due to the finding during intestinal exploration. The patient was stable postoperatively with no complications. The anatomopathological examination (cecal appendix) revealed a well-differentiated neuroendocrine tumor (grade 1), pT1, measuring 0.5 cm in its largest diameter, with free margins, without lymphovascular invasion. Conclusion: This case reinforces the importance of a complete evaluation of the peritoneal cavity, including the appendix, during laparoscopy for patients with endometriosis.
Key words: Neuroendocrine Tumors/surgery; Endometriosis; Laparoscopy; Appendectomy.
RESUMEN
Introducción: La endometriosis es una de las enfermedades ginecológicas más prevalentes, afectando del 7 al 10% de las mujeres en edad reproductiva. Consiste en la presencia de glándulas endometriales y estroma fuera de la cavidad uterina, y la forma profunda es la más grave. Los tumores neuroendocrinos gastrointestinales son raros, pero se encuentran entre las neoplasias más comunes del apéndice cecal y siendo más frecuentes en mujeres. El objetivo de este artículo es describir un caso raro en el que, durante una videolaparoscopía por endometriosis profunda, se realizó un diagnóstico incidental de un tumor neuroendocrino en el apéndice. Informe del caso: Paciente femenina de 44 años, sometida a videolaparoscopía para el control de endometriosis profunda. Se decidió resecar los focos de endometriosis, junto con una apendicectomía, debido a un hallazgo intraoperatorio durante la exploración intestinal. La paciente ha estado estable en el posoperatorio, sin complicaciones. En el examen anatomopatológico del apéndice cecal, se identificó un tumor neuroendocrino bien diferenciado (grado 1), pT1, de 0,5 cm en su diámetro mayor, con márgenes libres y sin invasión linfovascular. Conclusión: Este caso refuerza la importancia de una evaluación completa de la cavidad peritoneal, incluyendo el apéndice, durante la laparoscopía en pacientes con endometriosis.
Palabras clave: Tumores Neuroendocrinos/cirugía; Endometriosis; Laparoscopia; Apendicectomía.
INTRODUÇÃO
A endometriose é definida pela presença de glândulas endometriais e estroma fora da cavidade uterina. É uma doença inflamatória crônica que causa dor e infertilidade em 10-15% das mulheres em idade reprodutiva, podendo provocar outros sintomas como dismenorreia, sangramento uterino anormal, dispareunia, sangramento pós-coito, síndrome do intestino irritável e doença inflamatória pélvica1.
A endometriose pode ser categorizada em três classificações: endometriose peritoneal, cistos endometrióticos ovarianos (endometrioma) e endometriose profunda (EP). A EP é definida por lesões infiltrando o peritônio em >5 mm. A cirurgia está indicada em três situações: dor refratária às medicações, envolvimento ileal (risco de obstrução intestinal), e envolvimento apendicular (risco de neoplasia)2,3.
Por outro lado, os tumores neuroendócrinos (TNE) podem se desenvolver em quase todos os órgãos e podem variar amplamente em suas manifestações clínicas, morfologia, genômica e prognóstico. Os TNE do apêndice normalmente surgem na ponta e a maioria é descoberta incidentalmente durante procedimentos cirúrgicos. Macroscopicamente, essas neoplasias são nódulos amarelados bem demarcados. Historicamente, são considerados tumores indolentes e o termo carcinoide é frequentemente usado para os TNE do trato gastrointestinal (TGI)4.
Embora os TNE sejam considerados raros e de bom prognóstico, representam o segundo tipo de tumor gastrointestinal mais comum, e houve um aumento de 70-133% na incidência de TNE apendiculares nos últimos dez anos. O diagnóstico de TNE apendiculares geralmente é estabelecido histologicamente e ocorre em 0,16-2,3% das apendicectomias5,6.
Os TNE do apêndice afetam mais comumente mulheres entre 15 e 19 anos e homens entre 20 e 29 anos segundo alguns estudos. O prognóstico depende do estágio, grau, sítio primário e atividade mitótica. O grau desses tumores é determinado pelo índice Ki67 e/ou mitoses/High Power Field6. Além disso, em uma busca no PubMed usando os termos “Neuroendocrine tumor”, “Appendix” e “Endometriosis” sem restrição temporal, apenas sete manuscritos foram encontrados, destacando a raridade da associação.
O presente artigo foi aprovado pelo Comitê de Ética em Pesquisa, sob o número de parecer 7.130.629 (CAAE: 81074124.0.0000.5047), de acordo com a Resolução n.º 466/20127 do Conselho Nacional de Saúde.
RELATO DO CASO
Mulher, 44 anos, encaminhada para acompanhamento especializado em razão de um quadro de EP e infertilidade. Apresentava quadro de dispareunia de profundidade, dismenorreia, sangramento uterino anormal, dor pélvica crônica (DPC) e alterações do hábito intestinal. No exame físico, havia dor à mobilização do colo uterino e à palpação do septo retovaginal. A paciente não tinha histórico de cirurgias, etilismo ou tabagismo, mas possuía antecedentes familiares de diversas neoplasias, incluindo mieloma múltiplo, hepatocarcinoma, melanoma, câncer de intestino e de sistema nervoso central.
Em exame de ultrassonografia transvaginal com preparo intestinal, foram observados focos sugestivos de endometriose acarretando deslocamento lateral do ovário direito, em virtude de cisto anexial de aproximadamente 3 cm e ovários de tamanho normal, e focos acometendo a parede anterior do reto, vagina e da serosa uterina, além de aderências pélvicas. Passou por uma abordagem videolaparoscópica em maio de 2022 para controle de EP e, durante o procedimento, foram encontrados focos endometrióticos arroxeados infiltrativos de 1-5 mm em grande quantidade em tubas, ligamentos uterossacros, ureteres, bexiga, septo retovaginal, diafragma direito e apêndice, além de um endometrioma no ovário direito. Optou-se por ressecar os focos e, durante a exploração, foi visualizado um nódulo amarelado e endurecido no ápice do apêndice (Figura 1). Decidiu-se, então, pela realização de apendicectomia (Figura 2). A paciente teve uma evolução estável no pós-operatório durante os dois dias de internação, sem complicações.
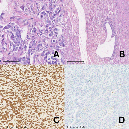
A análise anatomopatológica do nódulo apendicular revelou um TNE bem diferenciado (Grau 1), pela classificação da Organização Mundial da Saúde (OMS), confirmado por estudo imuno-histoquímico (sinaptofisina positivo, cromogranina A positivo, CD56 positivo e Ki-67 positivo em 1% das células) (Figura 3), pT1, com 0,5 cm de diâmetro máximo, localizado na camada submucosa. As margens cirúrgicas estavam livres e não havia invasão linfovascular. Dessa forma, não foi necessária terapia adjuvante ou outra abordagem cirúrgica.
Além disso, posteriormente, a paciente passou por uma mamotomia esquerda para biópsia de um fibroadenoma hialinizado em setembro de 2022 e por uma tireoidectomia total em novembro de 2022, em virtude de um carcinoma papilífero do subtipo folicular em terço médio, com dimensões de 0,8 x 0,5 x 0,4 cm e estádio pT1a.
Atualmente, a paciente está clinicamente estável, três anos após o diagnóstico de TNE, em acompanhamento anual em dois hospitais terciários, sem sinais de recidiva, conforme exames de endoscopia digestiva alta, colonoscopia e tomografia computadorizada realizados seis meses e um ano após a cirurgia.
DISCUSSÃO
O presente caso apresentou um quadro clássico de sinais e sintomas de EP com acometimento do TGI, sendo direcionada ao tratamento cirúrgico no qual foi visualizada uma lesão de apêndice. Dentro da abordagem cirúrgica da EP, existem três técnicas descritas na literatura: o shaving, a excisão em disco e a ressecção de segmento intestinal, sendo o risco de fístula retovaginal maior nas duas últimas¹.
A avaliação pré-cirúrgica utilizando diversas técnicas de imagem (ultrassonografia vaginal 3D, enema opaco com duplo contraste e ressonância magnética) é, portanto, essencial para definir a conduta cirúrgica. Entretanto, é consenso a necessidade de uma completa avaliação da cavidade peritoneal, incluindo o apêndice, durante laparoscopia para EP. Na presença de lesões suspeitas, a apendicectomia é indicada. No caso em questão, a cirurgia foi baseada nos achados ultrassonográficos, quadro clínico e na extensão da endometriose, sem necessidade de exames confirmatórios adicionais8.
Para essa finalidade, um estudo padronizou a técnica COPE (Corrida aos Órgãos Peritoneais na Endometriose) para avaliar e correlacionar sinais e sintomas gastrointestinais e ginecológicos da endometriose e a localização das lesões em cada segmento do TGI. A técnica COPE envolve uma investigação sistemática dos órgãos abdominais, seguindo a padronização: 1) monitor posicionado inferiormente, perto dos pés; 2) punção de 5 mm no hipocôndrio direito; 3) uso de óptica de 30 graus; 4) posição de Trendelenburg com perneiras; 5) início da análise do intestino delgado pelo íleo terminal em direção ao ângulo duodenojejunal9.
No estudo com a descrição da técnica COPE com mulheres com diagnóstico de endometriose, observou-se acometimento pela doença no TGI em 70% dos 40 casos da amostra. Foi demonstrada nítida relação entre sinais e sintomas do TGI e lesões no retossigmoide e íleo. No apêndice, observou-se que lesões são detectadas somente se a técnica COPE for corretamente aplicada, pois não houve diferença entre pacientes com e sem sinais e sintomas do TGI dentro dos TNE. A COPE foi utilizada no presente caso9.
Com base em um estudo nos arquivos de patologia de uma instituição israelense, observou-se que, entre 8.162 apendicectomias, foi realizado o diagnóstico histopatológico de 153 tumores, dos quais 57 (37,3%) eram TNE, 35 (22,9%) eram cistoadenomas mucinosos e 34 (22,2%) eram metástases de câncer de ovário10. Os TNE são os tumores mais comuns do apêndice, compreendendo cerca de 32% a 57% dos casos, mas, em geral, não apresentam sintomas específicos. A incidência anual varia na literatura, mas gira em torno 0,4-0,6/100 mil indivíduos11. Além disso, o apêndice é o terceiro local mais comum (16,7%) de TNE no TGI, perdendo para o intestino delgado e reto, respectivamente12.
Uma série de cinco casos com diagnósticos pré-operatórios de DPC descreveu pacientes que, durante procedimentos cirúrgicos ginecológicos, foram descobertos TNE apendiculares. Quatro pacientes possuíam endometriose após revisão histopatológica e uma foi confirmada com um teratoma cístico maduro, reforçando a importância da investigação da DPC e a possibilidade de achados incidentais durante procedimentos ginecológicos13. Apesar da presença de casos semelhantes ao presente na literatura, uma revisão sistemática identificou que as taxas de TNE são semelhantes em indivíduos com endometriose e na população geral14.
A perspectiva para TNE de apêndice é geralmente favorável, com o tamanho sendo um fator crucial para o prognóstico. O índice Ki-67 também é relevante, com estudos mostrando que um alto índice Ki-67 está associado a uma redução na sobrevida15. Uma metanálise mostrou que a sobrevida em cinco anos para pacientes com TNE gastroenteropancreáticos foi de 89% para grau 1 (Ki-67 ≤2%) e 70% para grau 2 (Ki-67 3-20%). Considerando um ponto de corte de 5%, a sobrevida foi de 89% para Ki-67 ≤5% e 51% para Ki-67 entre 5-20%. Com um Ki-67 de 1%, a evolução clínica da paciente até o momento pode estar alinhada a essa expectativa favorável16.
As diretrizes da Sociedade Norte-Americana de Neuroendocrinologia (NANETS) recomendam hemicolectomia direita para tumores apendiculares localizados na base ou com mais de 2 cm, ou em casos de invasão linfovascular ou no tecido adiposo mesoapendicular, metástases linfonodais, ou tumores de grau intermediário ou alto. Para tumores entre 1 cm e 2 cm, não há consenso sobre o tratamento em razão da falta de estudos. Tumores menores do que 1 cm requerem acompanhamento próximo, com consultas a cada 3-6 meses após a ressecção curativa, seguidas de visitas anuais durante os próximos sete anos. Para tumores ≤1 cm, como o do caso (0,5 cm, bem diferenciado, sem invasão), a apendicectomia isolada é suficiente. O seguimento do presente caso foi anual, sem recorrência em três anos. O manejo seguiu as diretrizes da NANETS, com monitoramento adequado e desfecho favorável16.
CONCLUSÃO
Este caso reforça a importância de uma completa avaliação da cavidade peritoneal, incluindo o apêndice, durante laparoscopia para pacientes com EP. O presente caso enfatiza a necessidade de uma abordagem cuidadosa e individualizada dos TNE e reforça a indicação de apendicectomia quando o apêndice é acometido no contexto da EP. Além disso, salienta a importância da realização de mais estudos que sistematizem a avaliação e o rastreamento dessas lesões nos contextos da cirurgia digestiva, coloproctologia e ginecologia.
CONTRIBUIÇÕES
Todos os autores contribuíram substancialmente na concepção e no planejamento do estudo; na obtenção, análise e interpretação dos dados; na redação e revisão crítica; e aprovaram a versão final a ser publicada.
DECLARAÇÃO DE CONFLITO DE INTERESSES
Nada a declarar.
FONTES DE FINANCIAMENTO
Não há.
REFERÊNCIAS
1. Dunselman GA, Vermeulen N, Becker C, et al. ESHRE guideline: management of women with endometriosis. Hum Reprod. 2014;29(3):400-12
2. Koninckx PR, Ussia A, Adamyan L,. Deep endometriosis: definition, diagnosis, and treatment. Fertil Steril. 2012;98(3):564-71. doi: https://doi.org/10.1016/j.fertnstert.2012.07.1061
3. Moulder JK, Siedhoff MT, Melvin KL, et al. Risk of appendiceal endometriosis among women with deep-infiltrating endometriosis. Int J Gynaecol Obstet. 2017;139(2):149-54
4. Assarzadegan N, Montgomery E. What is New in 2019 World Health Organization (WHO) Classification of Tumors of the Digestive System: review of selected updates on neuroendocrine neoplasms, appendiceal tumors, and molecular testing. Arch Pathol Amp Lab Med. 2020;145(6):664-77. doi: https://doi.org/10.5858/arpa.2019-0665-ra
5. Morris D, Tsilimigras DI, Vagios S, et al. Neuroendocrine neoplasms of the appendix: a review of the literature. Anticancer Res. 2018;38(2):601-11
6. Cuthbertson DJ, Shankland R, Srirajaskanthan R. Diagnosis and management of neuroendocrine tumours. Clin Med. 2023;23(2):119-24. doi: https://doi.org/10.7861/clinmed.2023-0044
7. Nisolle M, Brichant G, Tebache L. Choosing the right technique for deep endometriosis. Best Pract Amp Res Clin Obstet Amp Gynaecol. 2019;59:56-65. doi: https://doi.org/10.1016/j.bpobgyn.2019.01.010
8. Sagae UE, Lopasso F, Abrão MS, et al. Endometriose do trato gastrintestinal: correlações clínicas e laparoscópicas. Rev Bras Coloproctologia. 2007;27(4):423-31
9. Rosenblum RC, Klein N, Paran H, et al. Appendiceal tumor incidence and an in-depth look at appendiceal neuroendocrine neoplasm in a cohort of 8,162 appendectomies: Full dataset. Data Brief. 2020;33:106456. doi: https://doi.org/10.1016/j.dib.2020.106456
10. Ellis L, Shale MJ, Coleman MP. Carcinoid tumors of the gastrointestinal tract: trends in incidence in England since 1971. Am J Gastroenterol. 2010;105(12):2563-9
11. Süleyman M. Incidental presentation of appendix neuroendocrine tumor: long-term results from a single institution. Turk J Trauma Emerg Surg. 2023:972-7
12. Altshuler PC, Schultze PM. Diagnosis of appendiceal neuroendocrine tumors following incidental appendectomy during benign gynecologic laparoscopic surgeries: a case series. Cureus. 2023;15(6):e41135. doi: https://doi.org/10.7759/cureus.41135
13. Villaescusa M, Andres MP, Amaral AC, et al. Endometriosis and its relation with carcinoid tumor of the appendix: a systematic review. Minerva Obstet Gynecol. 2021;73(5):606-13 doi: https://doi.org/10.23736/s2724-606x.21.04792-4
14. Galanopoulos M, Toumpanakis C. The problem of appendiceal carcinoids. Endocrinol Metab Clin North Am. 2018;47(3):661-69
15. Richards-Taylor S, Ewings SM, Jaynes E, et al. The assessment of Ki-67 as a prognostic marker in neuroendocrine tumours: a systematic review and meta-analysis. J Clin Pathol. 2016;69(7):612-8.
16. Kunz PL, Reidy-Lagunes D, Anthony LB, et al. Consensus guidelines for the management and treatment of neuroendocrine tumors. Pancreas. 2013;42(4):557-77
Recebido em 10/2/2025
Aprovado em 19/3/2025
Editora-científica: Anke Bergmann. Orcid iD: https://orcid.org/0000-0002-1972-8777

Figura 1. Nódulo amarelado na ponta do apêndice cecal

Figura 2. Colocação de clips para posterior apendicectomia laparoscópica

Figura 3. Células neoplásicas de fenótipo neuroendócrino com núcleos arredondados e de cromatina salpicada (A), implantes de endometriose adjacentes à neoplasia (B), marcação difusa para sinaptofisina (C), baixo índice proliferativo pelo Ki-67 (D)
![]()
Este é um artigo publicado em acesso aberto (Open Access) sob a licença Creative Commons Attribution, que permite uso, distribuição e reprodução em qualquer meio, sem restrições, desde que o trabalho original seja corretamente citado.