RELATO DE CASO
Manejo Anestésico e Controle de Dor Pós-Operatória em Paciente Pediátrico Submetido à Nefrectomia Radical Unilateral Associada à Cavectomia: Relato de Caso
Anesthetic Management and Postoperative Pain Control in a Pediatric Patient Undergoing Unilateral Radical Nephrectomy Associated with Cavectomy: Case Report
Manejo Anestésico y Control del Dolor Posoperatorio en un Paciente Pediátrico Sometido a Nefrectomía Radical Unilateral Asociada a Cavectomía: Informe de Caso
https://doi.org/10.32635/2176-9745.RBC.2025v71n4.5151
João Pedro Costa dos Santos1; Flavia Claro da Silva2; Ralph Motta Diniz3; Sylvio Valença de Lemos Neto4
1-4Instituto Nacional de Câncer (INCA), Serviço de Anestesiologia. Rio de Janeiro (RJ), Brasil.
1E-mail: joaopedrocds98@gmail.com. Orcid iD: https://orcid.org/0000-0001-9677-1077
2E-mail: fla_claro@hotmail.com. Orcid iD: https://orcid.org/0009-0001-1885-3963
3E-mail: ralphdiniz@hotmail.com. Orcid iD: https://orcid.org/0009-0000-4150-4481
4E-mail: slemos@inca.gov.br. Orcid iD: https://orcid.org/0000-0001-5913-487X
Endereço para correspondência: João Pedro Costa dos Santos. Rua da Passagem, 114 – Botafogo. Rio de Janeiro (RJ), Brasil. CEP 22290-030. E-mail: joaopedrocds98@gmail.com
Este documento possui uma errata: https://doi.org/10.32635/2176-9745.RBC.2026v72n1.5721
RESUMO
Introdução: O tumor de Wilms é considerado o tumor renal maligno mais comum da infância, correspondendo a aproximadamente 5% de todas as neoplasias em pacientes pediátricos. A estratégia anestésica e a abordagem cirúrgica são partes decisivas do tratamento e influenciam diretamente o prognóstico dos pacientes, de modo que o objetivo deste estudo é descrever o manejo anestésico e o controle de dor pós-operatório em paciente pediátrico submetido à nefrectomia radical unilateral associada à cavectomia. Relato do caso: Paciente pediátrico submetido à nefrectomia radical associada à cavectomia. Como estratégia anestésica, foi realizada analgesia multimodal associada à anestesia peridural visando ao controle da dor. Realizada monitorização invasiva de variáveis hemodinâmicas e utilizado tromboelastograma para avaliação de coagulação após sangramento intraoperatório. A dor pós-operatória foi avaliada por meio da Children’s and Infants’ Postoperative Pain Scale (CHIPPS) durante a internação e, posteriormente, na reavaliação ambulatorial do paciente. Conclusão: A anestesia multimodal e os exames point-of-care contribuem na melhoria da assistência em cirurgias oncológicas de grande porte em pediatria. A CHIPPS é uma escala validada que permite avaliar a dor pós-operatória de maneira efetiva nesse perfil de pacientes.
Palavras-chave: Tumor de Wilms/cirurgia; Nefrectomia; Anestésicos/administração & dosagem; Manejo da Dor/métodos; Criança.
ABSTRACT
Introduction: Wilms tumor is considered the most common malignant renal tumor in childhood, corresponding to approximately 5% of all neoplasms in pediatric patients. The anesthetic strategy and surgical approach are decisive parts of the treatment and directly influence the patients' prognosis. The objective of this study is to describe the anesthetic management and postoperative pain control in a pediatric patient undergoing unilateral radical nephrectomy associated with cavectomy. Case report: Pediatric patient undergoing radical nephrectomy associated with cavectomy. As an anesthetic strategy, multimodal associated with epidural analgesia was performed to control pain. Invasive monitoring of hemodynamic variables was performed and thromboelastogram was used to evaluate coagulation. Postoperative pain was assessed using the Children’s and Infants’ Postoperative Pain Scale (CHIPPS). Conclusion: Multimodal anesthesia and point-of-care examinations contribute to improving care in major pediatric oncological surgeries. CHIPPS is a validated scale that allows the effective assessment of postoperative pain in this population.
Key words: Wilms Tumor/surgery; Nephrectomy; Anesthetics/administration & dosage; Pain Management/methods; Child.
RESUMEN
Introducción: El tumor de Wilms es considerado el tumor renal maligno más común en la infancia, correspondiendo aproximadamente al 5% de todas las neoplasias en pacientes pediátricos. La estrategia anestésica y el tratamiento quirúrgico son partes decisivas del tratamiento e influyen directamente en el pronóstico de los pacientes. Por lo tanto, el objetivo de este estudio es describir el manejo anestésico y el control del dolor posoperatorio en un paciente pediátrico sometido a nefrectomía radical unilateral asociada a cavectomía. Informe del caso: Paciente pediátrico sometido a nefrectomía radical asociada a cavectomía. Como estrategia anestésica se realizó analgesia multimodal asociada a anestesia epidural para controlar el dolor. Se realizó monitoreo invasivo de variables hemodinámicas y se utilizó tromboelastograma para evaluar la coagulación tras sangrado intraoperatorio. El dolor posoperatorio se evaluó mediante la Escala de dolor posoperatorio para niños y bebés (CHIPPS) durante la hospitalización y, posteriormente, en la reevaluación ambulatoria del paciente. Conclusión: La anestesia multimodal y los exámenes point-of-care contribuyen para mejorar la atención en las cirugías oncológicas mayores en pediatría. CHIPPS es una escala validada que permite la evaluación efectiva del dolor posoperatorio en este perfil de paciente.
Palabras clave: Tumor de Wilms/cirugía; Nefrectomía; Anestésicos/administración & dosificación; Manejo del Dolor/métodos; Niño.
INTRODUÇÃO
O tumor de Wilms ou nefroblastoma é considerado o tumor renal maligno mais comum da infância, correspondendo a aproximadamente 7% de todas as neoplasias em pacientes pediátricos. De acordo com os dados do Instituto Nacional de Câncer (INCA)1, nas últimas décadas, a sobrevida global em crianças menores que 15 anos pode atingir 90%.
O nefroblastoma apresenta tendência a invadir, na forma de trombo tumoral, importantes estruturas vasculares. A extensão intravascular para veia renal foi relatada em 20% a 35% dos pacientes, e a extensão adicional à veia cava inferior relatada em 4% a 10% dos pacientes portadores dessa patologia2.
O uso da estratégia quimioterápica pré-operatória pode permitir regressão ou até mesmo resolução do trombo intravascular. No entanto, em casos cuja resposta não é satisfatória ou quando há importante obstrução na luz da veia cava inferior, a cavectomia torna-se uma intervenção possível3.
A fim de reduzir os impactos negativos fisiológicos à resposta inflamatória ao estresse cirúrgico, e a dor pós-operatória nesses pacientes que frequentemente são subtratados do ponto de vista álgico, a técnica de anestesia multimodal vem ganhando destaque ao usar um extenso arsenal de medicamentos como analgésicos simples, anti-inflamatórios não esteroidais, antagonistas dos receptores N-metil-D-aspartato (NMDA), alfa-2-agonistas, anestésicos locais e bloqueios periféricos ou de neuroeixo, de modo a melhorar os desfechos perioperatórios4.
O objetivo deste estudo é descrever o manejo anestésico e o controle de dor pós-operatória em paciente pediátrico submetido à nefrectomia radical unilateral associada à cavectomia, evidenciando o emprego da analgesia multimodal associada a exames point-of-care e monitorização hemodinâmica na busca de melhores desfechos em anestesia pediátrica.
Esta pesquisa recebeu aprovação do Comitê de Ética em Pesquisa do INCA sob o número de parecer 4.429.028 (CAAE: 40007420.4.0000.5274), em atendimento à Resolução n.º 466/125 do Conselho Nacional de Saúde para pesquisas com seres humanos.
RELATO DO CASO
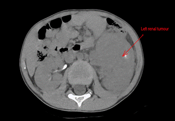
Paciente masculino, 6 anos, 21,6 kg, asmático, em tratamento com budesonida e salbutamol, alérgico a corantes, portador de volumosa massa heterogênea em rim esquerdo, com diagnóstico de tumor de Wilms não metastático com trombo tumoral em veia cava inferior (Figura 1).

Figura 1. Tumor renal esquerdo pré-quimioterapia
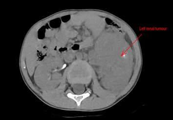
Após a quimioterapia, foi evidenciada resposta satisfatória em relação ao tumor e sua invasão vascular (Figura 2). Foram indicadas nefrectomia radical esquerda, cavectomia e linfadenectomia retroperitoneal pela equipe de cirurgia pediátrica.

Figura 2. Tumor renal esquerda pós-quimioterapia
Exames laboratoriais pré-operatórios demonstravam: hematócrito 32,9%; hemoglobina 10,8 g/dL; leucometria 8.090/mm3; contagem de plaquetas 315.000/mm3; ureia 22 mg/dL; creatinina 0,6 mg/dL; fibrinogênio 214 mg/dL; INR 1,05; potássio 3,9 mEq/L; sódio 137 mEq/L. Foi realizado ecocardiograma transtorácico que evidenciou função sistólica global de ventrículo esquerdo preservada e ausência de trombos intracavitários. Paciente apto à realização do procedimento, sendo suspensa a enoxaparina 24 horas antes da cirurgia.
A monitorização pela equipe de anestesiologia foi realizada com cardioscopia, pressão arterial não invasiva, oximetria de pulso e índice bispectral. O paciente apresentava cateter totalmente implantável puncionado previamente, por onde foi realizada indução anestésica com fentanil (2 mcg/kg), lidocaína (1 mg/kg), propofol 1,5 mg/kg e rocurônio 1 mg/kg, seguida de intubação orotraqueal sem intercorrências. A antibioticoprofilaxia foi realizada com cefazolina, foram administrados dexametasona (0,15 mg/kg), cetamina (0,3 mg/kg), dexmedetomidina (2 mcg/ml) em bomba infusora (0,2 mcg/kg/h a 0,4 mcg/kg/h), sulfato de magnésio (30 mg/kg), dipirona (40 mg/kg) e ondansetrona (0,15 mg/kg). A manutenção foi realizada com sevoflurano em concentração alveolar mínima (CAM) menor do que 1.
Posteriormente, foi realizada venóclise com cateter periférico 18G em membro superior e posicionado o paciente em decúbito lateral esquerdo para a realização de anestesia peridural com punção em espaço intervertebral T12-L1, com agulha Tuohy 18G e inserção de cateter epidural, e administrados 10 ml de ropivacaína 0,3% pelo cateter peridural. Ademais, foram realizadas punção de veia jugular interna direita com inserção de cateter venoso central guiada por ultrassonografia e punção de artéria radial direita para monitorização de pressão arterial invasiva.
Realizaram-se laparotomia exploradora com nefrectomia radical esquerda, cavectomia, linfadenectomia retroperitoneal e apendicectomia (Figura 3). Ocorreu importante sangramento intraoperatório durante a abordagem da veia cava inferior, com volume estimado de aproximadamente 600-650 ml durante todo o procedimento cirúrgico, sendo necessário o uso de noradrenalina com dose máxima de 0,08 mcg/kg/min. Foi transfundido concentrado de hemácias com volume total de 272 ml e realizada reposição de cálcio na forma de gluconato de cálcio 10% (1g). A fluidoterapia e a reposição volêmica foram guiadas por parâmetros como sinais vitais, diurese, gasometrias seriadas e monitorização dinâmica da curva de pressão arterial invasiva, e variação da pressão de pulso (VPP). Após o sangramento agudo intraoperatório e a transfusão de concentrado de hemácias, a tromboelastometria rotacional evidenciou Maximum Clott Firmness (MCF) = 9 mm em curva FIBTEM, Clotting Time (CT) 72s e MCF 63 mm em EXTEM e CT 201s com MCF 59 mm em INTEM.

Figura 3. Nefroblastoma
O ato anestésico cirúrgico teve duração total de 9 horas, com administração de 2.575 ml de cristaloides (Ringer com lactato 2.325 ml; cloreto de sódio 0,9% 250 ml), 25 ml de albumina 20% e concentrado de hemácias supracitado. O débito urinário total foi de aproximadamente 850 ml (4,5 ml/kg/h). A dose total de ropivacaína (0,3%) administrada pelo cateter peridural foi de 40 mg com 800 mcg de morfina epidural ao término do procedimento. Foram coletadas quatro gasometrias arteriais durante o procedimento no qual a última, colhida ao fim da cirurgia, demonstrava: pH 7,270; pCO2 40,0 mmHg; pO2 105 mmHg; SO2 97,6%; hemoglobina 10,4 g/dL; lactato 2,5 mmol/L; HCO3 17,8 mEq/L. O paciente foi transportado à Unidade de Terapia Intensiva pediátrica com noradrenalina em baixa dose (0,02 mcg/kg/min), sendo interrompida e realizada extubação no setor poucas horas após fim do procedimento.
Foi realizado acompanhamento pós-operatório do paciente por parte do médico-residente e anestesiologistas responsáveis pelo caso, sendo aferida a escala Children’s and Infants’ Postoperative Pain Scale (CHIPPS) durante a internação a cada 24 horas até a alta hospitalar. Nas primeiras 12 horas pós-operatórias, o paciente referiu importante desconforto, sendo iniciada morfina 2 mg de 4 em 4 horas intravenosa e dipirona 1 g de 6 em 6 horas intravenosa pela equipe de pediatria. A despeito dessa medida, o paciente apresentava quadro álgico com pontuação igual a 5, segundo a escala CHIPPS. Foi iniciada infusão de ropivacaína 0,2% pelo cateter peridural na vazão de 6 ml por hora após bólus de 5 ml de lidocaína 1%, com melhora imediata do quadro.
Após o início da infusão de anestésico local pelo cateter peridural, as doses de morfina foram reduzidas, sendo administradas apenas sob demanda do paciente, com quadro álgico melhor controlado (CHIPPS = 1) mediante o uso concomitante de analgésicos simples. O cateter peridural foi mantido por 72 horas com infusão de ropivacaína 0,2% em doses entre 4 e 6 ml por hora, sendo administrado 800 mcg de morfina via epidural imediatamente antes da retirada do cateter, sendo optado por analgesia apenas com dipirona 800 mg de 6 em 6 horas intravenosa.
O paciente recebeu alta hospitalar 12 dias após realização do procedimento cirúrgico, em bom estado geral, sendo reavaliado pela equipe de cirurgia pediátrica ambulatorialmente uma semana após alta, a fim de seguir o acompanhamento e avaliar a necessidade de tratamentos oncológicos adjuvantes. Em ambos os momentos da avaliação, tanto na alta quanto na reavaliação, o paciente apresentava escore de dor CHIPPS = 0.
DISCUSSÃO
O uso de estratégias de anestesia e analgesia multimodal tem se firmado como importante abordagem para o controle de dor pós-operatória em pacientes pediátricos, especialmente em oncologia. O uso de opioides tende a trazer uma série de eventos adversos indesejados, algumas vezes refratários ao tratamento, no manejo do quadro álgico, de modo que a implementação da analgesia multimodal tende a reduzir o consumo de opioides6.
O uso intraoperatório de drogas como cetamina e alfa-2-agonistas (dexmedetomidina e clonidina) é bem indicado em procedimentos de grande porte em oncologia, uma vez que vem sendo associado à importante redução de escores de dor e ao consumo de opioides no pós-operatório em pacientes pediátricos, em consonância com recomendações do protocolo Enhanced Recovery After Surgery (ERAS)7.
Ainda no que tange à estratégia de analgesia multimodal, a implementação de bloqueios periféricos ou de neuroeixo também se mostra benéfica em pacientes pediátricos. A analgesia peridural é fundamental no manejo intraoperatório de cirurgias abdominais de grande porte e efetiva no bom controle da queixa álgica e na redução do consumo de opioides no pós-operatório, embora não reduza o tempo de internação hospitalar7. Outras estratégias analgésicas são comumente utilizadas, como a realização dos bloqueios quadrado lombar ou peridural caudal8.
O anestesiologista deve avaliar suas condutas de analgesia intraoperatória como pilar prioritário de sua prática, uma vez que estas podem alterar o desfecho da dor pós-operatória. O inadequado manejo do quadro álgico pós-operatório está associado ao aumento da incidência de complicações como infecções, trombose, aumento do tempo de ventilação mecânica e início do desenvolvimento de dor crônica9. Nesse sentido, considerando a dificuldade de avaliação e a mensuração da dor pós-operatória em crianças, o uso da CHIPPS é uma boa ferramenta para a estratégia terapêutica analgésica, uma vez que essa escala é validada para a língua portuguesa do Brasil10.
Ademais, o uso da tromboelastometria na população pediátrica ainda é tema de discordância quanto aos valores de referência e aos benefícios de seu uso, e é um recurso ainda pouco disponível em pequenos centros. No entanto, algumas citações indicam que, na disponibilidade desse método, há possível benefício na redução do uso de hemocomponentes em cirurgias cardíacas ou abdominais de grande porte com eventos hemorrágicos agudos11. No caso em questão, a tromboelastometria rotacional (ROTEM) foi útil para descartar a existência de coagulopatia grave em curso e evitar a transfusão desnecessária de hemocomponentes, utilizando-se valores de referência de INTEM MCF 53-69 mm, EXTEM MCF 53-68 mm, CT INTEM 97-212 segundos e CT EXTEM 43-74 segundos12.
Dessa forma, torna-se evidente que a melhora dos desfechos em anestesia pediátrica oncológica deve seguir as recomendações de guidelines inspirados no protocolo ERAS. No que diz respeito especificamente sobre recomendações perioperatórias para crianças portadoras de tumor de Wilms, é fundamental estimular a analgesia multimodal poupadora de opioides, a terapia de fluidos guiada por metas, a profilaxia de náuseas e vômitos, entre outras medidas adotadas pela equipe de anestesia no caso descrito13.
CONCLUSÃO
O estudo descrito visa relatar um caso desafiador de anestesia pediátrica em cirurgia de grande porte em oncologia. Garantir adequadas condições intraoperatórias do ponto de vista hemodinâmico e planejar com rigor as estratégias de analgesia pós-operatória são tarefas difíceis, mas imperativas para um desfecho favorável nesse tipo de cirurgia.
Além disso, este relato de caso visa contribuir com a literatura médica no campo da anestesia pediátrica que tanto carece de mais pesquisas, de modo que estudos multicêntricos possam ser estimulados a fim de otimizar, cada vez mais, o manejo perioperatório desses pacientes.
CONTRIBUIÇÕES
João Pedro Costa dos Santos, Flavia Claro da Silva e Ralph Motta Diniz contribuíram na concepção e no planejamento do estudo; na obtenção e análise dos dados; na redação e revisão crítica com contribuição intelectual. Sylvio Valença de Lemos Neto contribuiu na redação e revisão crítica com contribuição intelectual. Todos os autores aprovaram a versão final a ser publicada.
DECLARAÇÃO DE CONFLITOS DE INTERESSE
Nada a declarar.
DECLARAÇÃO DE DISPONIBILIDADE DE DADOS
Todos os conteúdos subjacentes ao texto do artigo estão contidos no manuscrito.
FONTES DE FINANCIAMENTO
Não há.
REFERÊNCIAS
Recebido em 13/3/2025
Aprovado em 19/5/2025
Corrigido em 27/01/2026
Editora-científica: Anke Bergmann. Orcid iD: https://orcid.org/0000-0002-1972-8777
![]()
Este é um artigo publicado em acesso aberto (Open Access) sob a licença Creative Commons Attribution, que permite uso, distribuição e reprodução em qualquer meio, sem restrições, desde que o trabalho original seja corretamente citado.