RELATO DE CASO
Osteossarcoma com Metástase Pulmonar e Coinfecção por Tuberculose Pulmonar em Paciente Jovem: Relato de Caso
Osteosarcoma with Pulmonary Metastasis and Pulmonary Tuberculosis Coinfection in a Young Patient: Case Report
Osteosarcoma con Metástasis Pulmonar y Coinfección por Tuberculosis Pulmonar en una Paciente Joven: Informe de Caso
https://doi.org/10.32635/2176-9745.RBC.2025v71n3.5180
Flávia Adrianne de Castro Grello¹; Adrielly Elane Sousa Maia2; Katiane da Costa Cunha3; Saul Rassy Carneiro4
1,2Hospital Ophir Loyola, Programa de Residência Multiprofissional em Oncologia – Cuidados Paliativos. Belém (PA), Brasil. E-mails: flaviaadrianne@hotmail.com; adriellymaiaa@gmail.com. Orcid iD: https://orcid.org/0000-0003-3031-6682; Orcid iD: https://orcid.org/0000-0002-6940-2417
3,4Universidade Federal do Pará. Belém (PA), Brasil. E-mails: katianefisio@yahoo.com.br; saul@ufpa.br. Orcid iD: https://orcid.org/0000-0001-5361-5090; Orcid iD: https://orcid.org/0000-0002-6825-0239
Endereço para correspondência: Flávia Adrianne de Castro Grello. Rua Cinco, 492 – Maracangalha. Belém (PA), Brasil. CEP 66110-047. E-mail: flaviaadrianne@hotmail.com
RESUMO
Introdução: O osteossarcoma é um tumor ósseo maligno primário caracterizado pela presença de células mesenquimais malignas produtoras de osteoides. Apesar de ocorrer em qualquer faixa etária, é mais comum em crianças, adolescentes e adultos jovens. O reconhecimento precoce da doença é essencial para um prognóstico favorável. Relato do caso: Paciente L.S.M., sexo feminino, 19 anos, procurou atendimento médico com queixa de dor no joelho direito após um trauma. A biópsia óssea confirmou a presença de osteossarcoma. A paciente iniciou quimioterapia neoadjuvante, realizando-se dois ciclos antes da cirurgia para ressecção do tumor e implante de endoprótese. Três meses após a cirurgia, a tomografia de tórax revelou metástases nodulares pulmonares bilaterais, além de sinais compatíveis com caverna tuberculosa e lesões no parênquima pulmonar. Conclusão: O osteossarcoma, apesar de ser uma neoplasia rara, deve ser considerado como hipótese diagnóstica em pacientes jovens com dor óssea persistente, mesmo em casos associados a trauma. O diagnóstico precoce é essencial para possibilitar um tratamento efetivo na fase localizada da doença, aumentando as chances de cura. No caso relatado, apesar do diagnóstico relativamente tardio e da evolução com metástases pulmonares, o tratamento instituído proporcionou melhora clínica da paciente.
Palavras-chave: Osteosarcoma/diagnóstico; Metástase Neoplásica/diagnóstico; Próteses e Implantes; Relatos de Casos.
ABSTRACT
Introduction: Osteosarcoma is a primary malignant bone tumor characterized by the presence of malignant mesenchymal cells producing osteoid. Although it can occur at any age, it is more common in children, adolescents, and young adults. Early recognition of the disease is essential for a favorable prognosis. Case report: Female patient L.S.M., 19 years old, sought medical care complaining of right knee pain after trauma. A bone biopsy confirmed the presence of osteosarcoma. The patient underwent neoadjuvant chemotherapy, completing two cycles before surgery for tumor resection and endoprosthesis implantation. Three months after surgery, a chest CT scan revealed bilateral pulmonary nodular metastases, as well as findings compatible with a tuberculous cavity and pulmonary parenchymal lesions. Conclusion: Although osteosarcoma is a rare neoplasm, it should be considered as a diagnostic hypothesis in young patients with persistent bone pain, even in cases associated with trauma. Early diagnosis is crucial to enable effective treatment in the localized phase of the disease, increasing the chances of cure. In the reported case, despite the relatively late diagnosis and progression to pulmonary metastases, the treatment provided clinical improvement for the patient.
Key words: Osteosarcoma/diagnosis; Neoplasm Metastasis/diagnosis; Prostheses and Implants; Case Report.
RESUMEN
Introducción: El osteosarcoma es un tumor óseo maligno primario caracterizado por la presencia de células mesenquimales malignas productoras de osteoides. Aunque puede ocurrir a cualquier edad, es más común en niños, adolescentes y adultos jóvenes. El reconocimiento temprano de la enfermedad es esencial para un pronóstico favorable. Informe del caso: Paciente L.S.M, femenino, 19 años, buscó atención médica con queja de dolor en la rodilla derecha después de un trauma. La biopsia ósea confirmó la presencia de osteosarcoma. La paciente inició quimioterapia neoadyuvante, realizando dos ciclos antes de la cirugía para la resección del tumor e implantación de endoprótesis. Tres meses después de la cirugía, la tomografía de tórax reveló metástasis nodulares pulmonares bilaterales, además de hallazgos compatibles con una cavidad tuberculosa y lesiones en el parénquima pulmonar. Conclusión: Aunque el osteosarcoma es una neoplasia rara, debe considerarse como una hipótesis diagnóstica en pacientes jóvenes con dolor óseo persistente, incluso en casos asociados con trauma. El diagnóstico temprano es crucial para permitir un tratamiento efectivo en la fase localizada de la enfermedad, aumentando las posibilidades de cura. En el caso informado, a pesar del diagnóstico relativamente tardío y la evolución con metástasis pulmonares, el tratamiento instituido proporcionó una mejoría clínica en la paciente.
Palabras clave: Osteosarcoma/diagnóstico; Metástasis Neoplásica/diagnóstico; Prótesis e Implantes; Informes de Casos.
INTRODUÇÃO
O osteossarcoma é uma neoplasia maligna originada de células mesenquimais imaturas com capacidade de produzir osteoide ou osso imaturo. Trata-se do tumor ósseo maligno primário mais frequente, com maior incidência em crianças, adolescentes e adultos jovens, embora possa acometer indivíduos em qualquer faixa etária1,2. As localizações anatômicas predominantes são as metáfises dos ossos longos, em especial o fêmur distal, tíbia proximal e úmero proximal2.
O quadro clínico inicial é frequentemente inespecífico, caracterizado por dor óssea progressiva, dor noturna, fadiga e, posteriormente, edema e limitação funcional. Em estádios avançados, podem surgir sintomas respiratórios, principalmente quando há metástases pulmonares3. As etiologias do osteossarcoma permanecem em grande parte desconhecidas, embora síndromes genéticas e fatores hereditários estejam associados ao aumento do risco3,4.
O manejo terapêutico inclui quimioterapia neoadjuvante, seguida por cirurgia – amputação ou preservação do membro com ressecção tumoral e implantação de endoprótese – e quimioterapia adjuvante. A quimioterapia pré-operatória visa reduzir o volume tumoral e possibilitar cirurgias menos mutilantes, além de facilitar o controle local da doença5,6.
O presente estudo tem como objetivo relatar um caso clínico singular de uma paciente jovem com diagnóstico de osteossarcoma em membro inferior, cuja evolução foi marcada por complicações infecciosas e progressão metastática pulmonar, culminando no diagnóstico concomitante de tuberculose pulmonar. Este relato se destaca pela raridade e complexidade do quadro clínico, agregando valor à literatura ao abordar os múltiplos desafios diagnósticos e terapêuticos enfrentados durante o curso evolutivo da doença.
Trata-se de um estudo observacional descritivo baseado na análise retrospectiva de dados clínicos e radiológicos obtidos diretamente do prontuário eletrônico da paciente atendida no Hospital Ophir Loyola (HOL). O estudo foi aprovado pelo Comitê de Ética em Pesquisa da instituição conforme a Resolução n.º 4667, de 12 de dezembro de 2012, do Conselho Nacional de Saúde, sob o número de parecer 3.009.002/2018 (CAAE 96279018.6.0000.5550), com isenção do Termo de Consentimento Livre e Esclarecido (TCLE) por tratar-se de estudo retrospectivo.
RELATO DO CASO
Paciente do sexo feminino, 19 anos, estudante, procurou atendimento na Unidade de Pronto Atendimento (UPA) de Castanhal (PA), em setembro de 2016, com queixa de dor intensa em joelho direito após trauma direto. A radiografia inicial não evidenciou alterações ósseas e foram prescritos analgésicos para alívio sintomático.
A despeito do manejo inicial, a paciente evoluiu com dor persistente, de caráter contínuo, refratária à analgesia e associada à progressiva limitação funcional. Um mês após o episódio inicial, realizou nova radiografia, na qual foram observadas alterações ósseas sugestivas de processo expansivo, motivando investigação complementar por ressonância magnética. O exame, realizado em novembro de 2016, revelou lesão expansiva e infiltrativa agressiva no fêmur distal, comprometendo as regiões diafisária, metafisária e epifisária, com extensão para partes moles e recesso subpatelar, além de reação periosteal – achados compatíveis com lesão sarcomatosa, tendo sido indicada biópsia diagnóstica.
A paciente foi referenciada ao HOL para seguimento oncológico, tendo realizado biópsia óssea em outubro de 2017, com diagnóstico histopatológico confirmado de osteossarcoma. No exame físico inicial, a paciente apresentou edema localizado no joelho direito, associado à redução significativa da força muscular (grau 4-, segundo a Escala de Oxford) e da amplitude de movimento articular. Relatou dor de intensidade moderada em repouso, quantificada em 6 a 7 na Escala Visual Analógica (EVA). Na Escala de Mobilidade de John Hopkins, a paciente foi classificada no nível 3, indicando mobilidade limitada e dependência parcial para as transferências e deambulação. Em 4 de novembro de 2017, iniciou-se o tratamento com quimioterapia neoadjuvante MAP – methotrexato em altas doses, doxorrubicina e cisplatina – em regime ambulatorial.
No mesmo mês, a paciente foi hospitalizada na unidade oncológica do HOL para continuidade do protocolo quimioterápico neoadjuvante (estadiamento clínico III), recebendo alta em dezembro de 2017. Em função da necessidade de controle tumoral primário, melhorar a ressecabilidade cirúrgica e controlar as micrometástases, foi reinternada em 17 de janeiro de 2018, sendo submetida, em 16 de fevereiro de 2018, à ressecção segmentar do fêmur distal com implantação de endoprótese (Figura 1). Posteriormente à cirurgia, a paciente foi seguida por quimioterapia adjuvante para consolidar a resposta terapêutica e reduzir o risco de recorrência local e a distância. Optou-se por manter o protocolo de MAP como protocolo terapêutico padrão.

Figura 1. Tomografia de coxa direita no pós-operatório imediato, demonstrando posicionamento da endoprótese
Em abril de 2018, a paciente foi readmitida no HOL com febre persistente, mal-estar geral, dispneia e sinais flogísticos no local da cirurgia. A radiografia torácica evidenciou pneumonia e foi diagnosticada infecção da ferida operatória. A paciente foi submetida a desbridamento cirúrgico e à lavagem ampla do leito operatório (Figura 2).

Figura 2. A) Sinais flogísticos em região cirúrgica; B) Aspecto pós-desbridamento cirúrgico
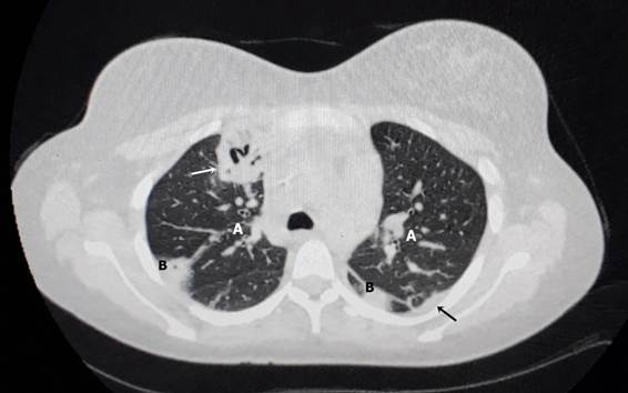
Apesar da resolução do quadro infeccioso local e da melhora clínica inicial, a paciente evoluiu, ainda durante a internação, com tosse seca persistente, dor torácica, febre vespertina e dispneia em repouso. Uma tomografia computadorizada de tórax com contraste revelou metástases nodulares pulmonares e pleurais bilaterais, derrame pleural à direita, caverna pulmonar e alterações do parênquima compatíveis com tuberculose pulmonar (Figura 3). A hipótese diagnóstica foi confirmada clinicamente em conjunto com o resultado do exame de baciloscopia direta de escarro (BAAR) com resultado positivo (3+) e por exame de imagem.

Figura 3. Tomografia de tórax: A) nódulos metastáticos difusos em janela pulmonar; B) nódulos pleurais, caverna tuberculosa (seta branca) e derrame pleural (seta preta)
A paciente iniciou tratamento antituberculose com boa adesão, apresentando melhora significativa: resolução do quadro febril, desaparecimento da tosse e regressão dos sintomas respiratórios. Além disso, não houve recorrência de infecção no sítio cirúrgico. Recebeu alta hospitalar em 25 de maio de 2018, já em estádio IV da doença, em razão da confirmação de metástases pulmonares.
No dia 22 de julho de 2018, a paciente evoluiu a óbito em seu domicílio, em decorrência de complicações relacionadas ao tratamento quimioterápico. A decisão de manter o cuidado em ambiente domiciliar foi tomada em comum acordo entre a equipe de cuidados paliativos e os familiares, considerando o estádio avançado da doença e o prognóstico reservado. Durante este período, a paciente recebeu acompanhamento rigoroso para alívio sintomático e medidas de conforto, conforme as diretrizes de cuidados paliativos, com ênfase no manejo da dor e na promoção da qualidade de vida. Tal abordagem priorizou o respeito à autonomia e aos desejos da paciente e de sua família, além de minimizar intervenções invasivas que não contribuiriam para a melhora do quadro clínico.
DISCUSSÃO
O presente caso clínico exemplifica os múltiplos desafios relacionados ao diagnóstico e tratamento do osteossarcoma, particularmente no contexto de sistemas de saúde com limitações de acesso e recursos. A paciente apresentou um intervalo aproximado de 12 meses entre o início dos sintomas e a confirmação diagnóstica por biópsia, evidenciando um atraso considerável, compatível com os dados da literatura nacional. Estudos recentes indicam que o atraso no diagnóstico de osteossarcoma pode variar significativamente, influenciando negativamente o prognóstico8.
Osteossarcomas frequentemente se manifestam de forma insidiosa, com sintomas inespecíficos como dor óssea persistente, ocasionalmente associada a traumatismos menores. A ausência de alterações significativas nas radiografias iniciais, como observado neste caso, pode contribuir para o subdiagnóstico ou atraso na investigação aprofundada9. No entanto, a persistência da dor e a limitação funcional devem alertar os profissionais para a possibilidade de neoplasia óssea, especialmente em pacientes jovens.
Estudos indicam que a presença de metástases à época do diagnóstico está associada a pior prognóstico. No Brasil, as taxas de metástase inicial variam entre 18% e 30%, superando as médias internacionais8,10. Embora o diagnóstico tardio seja um fator contribuinte, evidências recentes sugerem que a agressividade tumoral, características biológicas intrínsecas e o perfil molecular exercem papel ainda mais relevante na determinação do comportamento metastático e da sobrevida8,10,11.
Este caso ganha relevância adicional por apresentar coinfecção por tuberculose pulmonar, identificada após a progressão metastática. A sobreposição de manifestações clínicas e radiológicas – como febre, dispneia, tosse seca e cavitação pulmonar – representou um desafio diagnóstico substancial. A concomitância entre neoplasia maligna e tuberculose é rara, porém descrita na literatura, e exige vigilância clínica, sobretudo em regiões endêmicas.
A adesão ao tratamento multidisciplinar foi determinante para a estabilização clínica da paciente, apesar do estádio avançado da doença ao final da linha do tempo. Os comprometimentos da paciente e da equipe multiprofissional favoreceram o manejo adequado das intercorrências infecciosas, a continuidade do protocolo oncológico e o início precoce do tratamento antituberculose. A abordagem integrada e individualizada contribuiu para a melhora funcional e para a qualidade de vida no contexto paliativo.
O caso relatado contribui para a literatura ao reunir, em um mesmo cenário clínico, aspectos como: diagnóstico tardio, metástase pulmonar, complicações infecciosas pós-operatórias e infecção oportunista concomitante. Tais elementos reforçam a importância de estratégias de diagnóstico precoce, acompanhamento multidisciplinar contínuo e vigilância para doenças infecciosas associadas, sobretudo em populações vulneráveis.
CONCLUSÃO
Apesar dos avanços significativos na terapêutica oncológica, o prognóstico do osteossarcoma permanece diretamente associado à precocidade do diagnóstico e à implementação tempestiva de um plano terapêutico multidisciplinar. O presente relato ilustra de maneira clara os obstáculos enfrentados em contextos clínicos reais, como o retardo na confirmação diagnóstica, a evolução para metástases pulmonares e a ocorrência de coinfecções que complicam ainda mais o curso da doença.
A singularidade deste caso reside na rara associação entre osteossarcoma metastático e tuberculose pulmonar ativa, situação que amplia a complexidade diagnóstica e terapêutica e reforça a importância de uma abordagem clínica abrangente, sobretudo em regiões endêmicas para doenças infecciosas. A resposta favorável ao tratamento antituberculose, associada ao manejo eficaz das complicações pós-operatórias, ressalta a relevância da adesão ao tratamento por parte da paciente e da atuação integrada da equipe de saúde.
Este estudo de caso contribui para a literatura ao abordar uma combinação clínica atípica, enfatizando a necessidade de elevada suspeição diagnóstica mesmo diante de sintomas inespecíficos e achados iniciais normais em exames de imagem. A valorização de sinais de alerta, como dor persistente e limitação funcional em pacientes jovens, deve orientar a investigação precoce de neoplasias ósseas, com potencial impacto no prognóstico e na sobrevida.
Por fim, recomenda-se que serviços de atenção primária e especializada estejam atentos às manifestações clínicas iniciais do osteossarcoma, adotando condutas proativas na triagem e no encaminhamento para centros de referência, a fim de possibilitar intervenções precoces e mais eficazes.
CONTRIBUIÇÕES
Flávia Adrianne de Castro Grello e Adrielly Elane de Sousa Maia contribuíram substancialmente na concepção e no planejamento do estudo; na obtenção e análise dos dados; na redação e revisão crítica. Katiane da Costa Cunha e Saul Rassy Carneiro contribuíram na redação e revisão crítica. Todos os autores aprovaram a versão final a ser publicada.
DECLARAÇÃO DE CONFLITOS DE INTERESSE
Nada a declarar.
DECLARAÇÃO DE DISPONIBILIDADE DE DADOS
Todos os conteúdos subjacentes ao texto do artigo estão contidos no manuscrito.
FONTES DE FINANCIAMENTO
Não há.
REFERÊNCIAS
1. Mirabello L, Troisi RJ, Savage SA. International trends in incidence of osteosarcoma (1988-2012). Cancer. 2021;127(6):1044-52. doi: https://doi.org/10.1002/ijc.33673
2. Greenwood AC, Arora RD, Shaikh H. Osteosarcoma (Osteogenic Sarcoma). In: StatPearls [Internet]. Treasure Island: StatPearls Publishing; 2022. [Acesso 2025 jan 15]. Disponível em: https://www.ncbi.nlm.nih.gov/books/NBK563177/
3. Hendershot E. Solid tumor. In: Tomlinson D, Kline NE, editores. Pediatric oncology nursing: advanced clinical handbook. 2. ed. Heidelberg: Springer; 2010. p. 59-140.
4. Martins GE, Perez SV. Acompanhamento do paciente tratado de osteossarcoma. Acta Ortop Bras. 2012;20(4):226-30. doi: https://doi.org/10.1590/S1413-78522012000400009
5. Tsai LY, Filho RJG, Petrilli AS, et al. Protocolo fisioterapêutico em pacientes submetidos à endoprótese não convencional de joelho por osteossarcoma: estudo prospectivo. Rev Bras Ortop. 2007;42(3):64-70.
6. Gomes AM, Vieira ACL, Machado CP, et al. Osteossarcoma de fêmur distal com fratura de endoprótese não convencional: revisão de literatura e relato de caso. Rev Pesq Cuid Fundam Online. 2010;2(Supl):631-5. doi: https://doi.org/10.9789/2175-5361.2010.v0i0.%25p
7. Conselho Nacional de Saúde (BR). Resolução n° 466, de 12 de dezembro de 2012. Aprova as diretrizes e normas regulamentadoras de pesquisas envolvendo seres humanos. Diário Oficial da União, Brasília, DF. 2013 jun 13; Seção I:59.
8. Zhang Y, Yang J, Zhao N, et al. Risk and clinicopathological features of osteosarcoma metastasis to the lung: a population-based study. J Bone Oncol. 2023;38:100456.
9. Castro HCD, Ribeiro KDCB, Brunieira P. Osteossarcoma: experiência do serviço de oncologia pediátrica da Santa Casa de Misericórdia de São Paulo. Rev Bras Ortop. 2008;43(4):108-15.
10. Silva JAM, Marchiori E, Amorim VB, et al. CT features of osteosarcoma lung metastasis: a retrospective study of 127 patients. J Bras Pneumol. 2024;50(1):e20230234. doi: https://doi.org/10.36416/1806-3756/e20220433
11. Ciechanowicz D, Kotrych D, Starszak K, et al. Diagnosis and treatment of bone sarcoma-systematic review. Cancers (Basel). 2025;17(6):981. doi: https://doi.org/10.3390/cancers17060981
Recebido em 28/3/2025
Aprovado em 9/6/2025
Editora-científica: Anke Bergmann. Orcid iD: https://orcid.org/0000-0002-1972-8777
![]()
Este é um artigo publicado em acesso aberto (Open Access) sob a licença Creative Commons Attribution, que permite uso, distribuição e reprodução em qualquer meio, sem restrições, desde que o trabalho original seja corretamente citado.