RELATO DE CASO
Tratamento Cirúrgico Videolaparoscópico de Neoplasia Sólida Pseudopapilar do Pâncreas (Tumor de Frantz): Relato de Caso
Laparoscopic Surgical Treatment of a Solid Pseudopapillary Tumor of the Pancreas (Frantz's Tumor): Case Report
Tratamiento Quirúrgico Videolaparoscópico de la Neoplasia Sólida Pseudopapilar del Páncreas (Tumor de Frantz): Informe de Caso
https://doi.org/10.32635/2176-9745.RBC.2026v72n1.5384
Ítalo de Souza Porto1; José Nilo de Lima Filho2; Levi Goyanna de Moura3; Maria Paula Lopes Ponte Prado4; Mário Vilâny Gomes Bonfim Oliveira5; José Walter Feitosa Gomes6
1,2Universidade Federal do Ceará (UFC), Centro de Ciências da Saúde, Faculdade de Medicina. Fortaleza (CE), Brasil. E-mails: italoporto88@alu.ufc.br; josenilo@alu.ufc.br. Orcid iD: https://orcid.org/0000-0002-9649-0176; Orcid iD: https://orcid.org/0009-0006-6235-9686
3,4,6Instituto Doutor José Frota. Fortaleza (CE), Brasil. E-mails: levigmoura@hotmail.com; mariapaulalpprado@gmail.com; jwalterfeitosa@yahoo.com.br. Orcid iD: https://orcid.org/0009-0003-6223-4603; Orcid iD: https://orcid.org/0000-0001-8512-4915; Orcid iD: https://orcid.org/0000-0002-7969-4927
5Faculdade Unichristus. Hospital Geral Waldemar Alcântara. Fortaleza (CE), Brasil. E-mail: mario_vilany@yahoo.com.br. Orcid iD: https://orcid.org/0009-0008-4054-6266
Endereço para correspondência: Ítalo de Souza Porto. Rua Alexandre Baraúna (do 701/702 ao fim) – Rodolfo Teófilo. Fortaleza (CE), Brasil. CEP 60430-160. E-mail: italoporto88@alu.ufc.br
RESUMO
Introdução: A neoplasia sólida pseudopapilar do pâncreas, ou tumor de Frantz, é rara, correspondendo a 0,17-2,7% das neoplasias malignas do pâncreas. O objetivo deste trabalho é relatar o caso de uma adolescente com essa patologia tratada por cirurgia videolaparoscópica. Relato do caso: Detectou-se em uma mulher de 13 anos assintomática uma lesão periesplênica em ultrassonografia abdominal, com aumento após um ano visto em nova ultrassonografia. Ressonância magnética identificou massa adjacente à cauda pancreática. Optou-se pela exérese por videolaparoscopia, cujo histopatológico e imuno-histoquímica indicaram tumor de Frantz. Conclusão: A neoplasia sólida pseudopapilar do pâncreas afeta predominantemente pacientes jovens do sexo feminino, representando um desafio diagnóstico em razão da sua raridade, da ausência ou inespecificidade de sintomas na maioria dos pacientes e da numerosa lista de diagnósticos diferenciais. A realização do tratamento cirúrgico por videolaparoscopia, quando factível, é associada a um resultado oncológico satisfatório e, em comparação à cirurgia aberta, a uma melhor recuperação no pós-operatório.
Palavras-chave: Neoplasias Pancreáticas/diagnóstico; Neoplasias Pancreáticas/cirurgia; Pâncreas; Procedimentos Cirúrgicos do Sistema Digestório.
ABSTRACT
Introduction: Solid pseudopapillary tumor of the pancreas (SPTP), also known as Frantz’s tumor, is a rare neoplasm, accounting for approximately 0.17–2.7% of all pancreatic malignancies. The objective of this study is to report the case of an adolescent patient with SPTP who underwent laparoscopic surgery. Case report: A 13-year-old female, asymptomatic at presentation, was found to have a perisplenic lesion on routine abdominal ultrasonography. Follow-up imaging one year later demonstrated progressive enlargement of the lesion. Magnetic resonance imaging (MRI) revealed mass adjacent to the pancreatic tail. Laparoscopic resection was performed, for which histopathological evaluation combined with immunohistochemistry confirmed the diagnosis of Frantz’s tumor. Conclusion: SPTP predominantly affects young females and remains a diagnostic challenge due to its rarity, nonspecific or absent symptoms, and broad differential diagnosis. When technically feasible, laparoscopic resection offers favorable oncological outcomes and provides the advantages of minimally invasive surgery, including reduced postoperative morbidity and faster recovery compared to open procedures.
Key words: Pancreatic Neoplasms/diagnosis; Pancreatic Neoplasms/surgery; Pancreas; Digestive System Surgical Procedures.
RESUMEN
Introducción: La neoplasia sólida pseudopapilar del páncreas, o tumor de Frantz, es rara, correspondiendo al 0,17-2,7% de las neoplasias malignas del páncreas. El objetivo de este estudio es reportar el caso de una adolescente con esta patología tratada por videolaparoscopía. Informe del caso: En una ecografía abdominal se detectó una lesión periesplénica en una mujer asintomática de 13 años, con un aumento al cabo de un año en una nueva ecografía. La resonancia magnética identificó una masa adyacente a la cola pancreática. Se optó por la exéresis por videolaparoscopía, cuya histopatología e inmunohistoquímica indicaban tumor de Frantz. Conclusión: La neoplasia sólida pseudopapilar del páncreas afecta predominantemente a pacientes jóvenes de sexo femenino, representando un desafío diagnóstico debido a su rareza, a la ausencia o inespecificidad de síntomas en la mayoría de los pacientes y a la numerosa lista de diagnósticos diferenciales. La realización del tratamiento quirúrgico por videolaparoscopía, cuando es factible, se asocia a un resultado oncológico satisfactorio y, en comparación con la cirugía abierta, a una mejor recuperación en el posoperatorio.
Palabras clave: Neoplasias
pancreáticas/diagnóstico; Neoplasias pancreáticas/cirugía; Páncreas; Procedimientos
Quirúrgicos del Sistema Digestivo.
INTRODUÇÃO
A neoplasia sólida pseudopapilar do pâncreas (NSPP) é um tumor com baixo grau de malignidade localizado primariamente no pâncreas, caracterizado por células epiteliais com baixa coesão formando estruturas sólidas e pseudopapilares1. Essa patologia foi inicialmente descrita em 1959 pela Dra. Virginia Kneeland Frantz, recebendo, assim, o epônimo de tumor de Frantz2.
A NSPP é uma doença rara3. Na maioria das vezes, o quadro sintomatológico do paciente é inespecífico e, em cerca de 30% dos pacientes, a NSPP pode ser assintomática, sendo o diagnóstico realizado de forma incidental por meio de exames imagiológicos4.
Nesse cenário, o objetivo deste estudo é relatar o caso de uma paciente jovem diagnosticada com essa patologia, cuja excisão cirúrgica foi realizada por abordagem videolaparoscópica, bem como discutir sobre a NSPP.
Este estudo foi aprovado pelo Comitê de Ética em Pesquisa sob o número de parecer 7.693.594 (CAAE: 82540224.5.0000.5047), conforme determina a Resolução n.º 466/20125 do Conselho Nacional de Saúde.
RELATO DO CASO
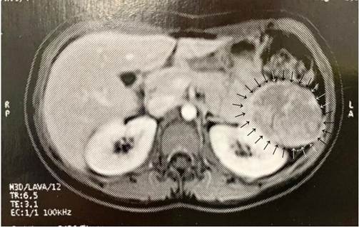
Uma jovem assintomática realizou aos 13 anos ultrassonografia abdominal em rotina de exames, sendo evidenciada, conforme laudo, “imagem arredondada de 4,2 x 3,3 centímetros (cm), com ecotextura semelhante ao baço, em íntimo contato com este órgão, podendo representar baço acessório”. Um ano depois, uma nova ultrassonografia foi realizada, revelando aumento da lesão (5,9 x 5,4 cm), sendo sugerida correlação com ressonância nuclear magnética (RNM). A RNM de abdome superior com contraste identificou formação expansiva heterogênea bem delimitada, com predomínio de alto sinal em T2 e focos hemáticos de permeio, localizada junto à cauda pancreática, com insinuação ao hilo esplênico, apresentando áreas de aparente realce, medindo 6,4 x 5,4 cm (Figura 1), sendo aventada hipótese de tumor de Frantz.

Figura 1. Ressonância nuclear magnética de abdômen (setas pretas/cinzas: neoplasia sólida pseudopapilar do pâncreas)
Nesse contexto, aos 15 anos, a paciente foi avaliada por equipe cirúrgica, sendo optado pela excisão da lesão em razão do potencial de malignidade. O antígeno carboidrato 19-9 (CA 19-9) e o antígeno carcinoembrionário (CEA) foram solicitados no pré-operatório, estando ambos sem alterações. Realizou-se uma vacinação contra germes encapsulados previamente à cirurgia em função da elevada probabilidade de esplenectomia no intraoperatório.
O procedimento foi conduzido por meio de videolaparoscopia, na qual uma lesão foi encontrada na região de transição entre o corpo e a cauda do pâncreas (Figura 2 A). Prosseguiu-se com a dissecção completa dos polos superior e inferior do pâncreas e isolamento dos vasos esplênicos. Foi realizada a esplenectomia em razão da contiguidade dos vasos com o tumor ao nível do hilo esplênico, que envolveu a ligadura conjunta da artéria e veia esplênicas, associada à pancreatectomia corpo-caudal. O corpo do pâncreas foi grampeado com carga azul e reforçado com Caprofyl® 3-0. Além disso, pela presença macroscópica de linfonodos aumentados em região peripancreática e pela indisponibilidade de biópsia por congelamento no intraoperatório, foram executadas a linfadenectomia supra e infrapancreática, a ressecção em bloco dos linfonodos do hilo esplênico e a omentectomia parcial próxima ao ângulo esplênico. O dreno de Blake foi posicionado e as peças cirúrgicas foram retiradas através de uma incisão de Pfannenstiel (Figura 2 B).

Figura 2. A: Imagem da videolaparoscopia (setas pretas: neoplasia sólida pseudopapilar do pâncreas); B: Imagem das peças cirúrgicas excisadas (setas pretas: neoplasia sólida pseudopapilar do pâncreas; *: Baço; **: Omento maior)
Após o procedimento, a paciente recebeu alta hospitalar no 6° dia de pós-operatório. Evoluiu no 18° dia de pós-operatório com febre e leucocitose. Foi realizada uma tomografia computadorizada (TC), evidenciando coleção de 300 ml em região subfrênica esquerda, procedendo-se à internação hospitalar (IH) para a realização de antibioticoterapia e tentativa de punção guiada por TC. Durante a IH, não houve necessidade de punção em razão da redução da coleção e, também, a remissão dos sintomas. A paciente recebeu alta hospitalar no 9° dia, sem novas intercorrências.
A análise histopatológica e imuno-histoquímica da lesão foi consistente com o diagnóstico de NSPP (Quadro 1).
Quadro 1. Análise histopatológica e imuno-histoquímica das peças excisadas
|
Microscopia e parecer diagnóstico |
||
|
1) Pâncreas: neoplasia constituída de células epitelioides pouco coesas, arranjadas em lençóis sólidos, com delicados vasos de permeio, por vezes, esboçando papilas com macrófagos xantomatosos. A neoplasia mede 5,5 cm em seu maior eixo. O núcleo é arredondado, de contorno regular, com cromatina homogênea e nucléolo pouco evidente. O citoplasma tem limites imprecisos, ora eosinofílico, ora claro. Foram observadas áreas cístico-hemorrágicas e estroma fibro-hialino de permeio. Ausência de figuras de mitose |
||
|
2) Margem cirúrgica: livre de neoplasia |
||
|
3) Linfonodos peripancreáticos: Ausência de neoplasia. 11 linfonodos livres de neoplasia |
||
|
4) Baço: Livre de neoplasia |
||
|
5) Hilo esplênico: Livre de neoplasia |
||
|
6) Omento: Ausência de neoplasia. 2 linfonodos livres de neoplasia. Omento livre de neoplasia |
||
|
Painel de anticorpos |
||
|
Anticorpo |
Clone |
Interpretação |
|
CK AE1AE3 |
AE1AE3 |
Positivo na neoplasia |
|
Cromogranin A |
Policlonal |
Negativo na neoplasia |
|
Betacatenina |
Policlonal |
Positivo na neoplasia (padrão nuclear) |
|
Vimentina |
V9 |
Positivo em focos da neoplasia |
A paciente foi encaminhada para um serviço especializado em oncologia e, atualmente, permanece em seguimento, sem queixas ou sinais de recidiva.
DISCUSSÃO
A NSPP representa 0,17-2,7% dos tumores pancreáticos malignos3. Localiza-se em 66-74% dos pacientes no corpo ou na cauda do pâncreas e em 26-34% dos casos na cabeça pancreática6. Raramente, pode surgir no estômago, duodeno, omento, mesentério, retroperitônio ou no ovário1.
A NSPP acomete principalmente pacientes do sexo feminino, com uma proporção de 1,7:1 a 10:1 em relação ao sexo masculino, sendo geralmente diagnosticada entre 23 e 35 anos3. Uma das explicações para a maior predominância em mulheres é a presença de receptores de progesterona nos tumores. Em um estudo de Kosmahl, et al7. com pacientes com NSPP, 100% das neoplasias avaliadas possuíam receptores de progesterona.
A patogenia do tumor de Frantz ainda é incerta. Sabe-se que há mutações genéticas relacionadas à NSPP que propiciam o acúmulo de betacatenina no citoplasma celular e, posteriormente, no interior do núcleo, a qual se liga a elementos-chave da regulação do DNA, tal como os genes reguladores de crescimento ciclina D1 e C-MYC8. Ademais, sugere-se que a carcinogênese da NSPP se relaciona à anexação/incorporação de células primitivas do ovário no interior do parênquima pancreático durante o período do desenvolvimento embrionário. Isso, no entanto, não explica a ocorrência dessa neoplasia no sexo masculino7.
Os principais achados clínicos presentes em pacientes com NSPP sintomáticos são dor/desconforto abdominal e massa abdominal palpável. Alguns pacientes cursam com distensão abdominal, náuseas e/ou vômitos, saciedade precoce, hiporexia, fadiga, febre e/ou anemia. Já perda de peso, icterícia e pancreatite aguda são manifestações raras em pacientes com NSPP. Além disso, há relatos na literatura de hemoperitônio por ruptura da cápsula tumoral1-4, 6-13.
Metástases linfonodais ocorrem em cerca de 1,6% dos casos e metástases a distância, em 7,7% dos casos, incluindo fígado, pulmões, peritônio e mesentério dos intestinos delgado e grosso. A NSPP pode cursar com infiltração direta de estruturas adjacentes (por exemplo, baço, duodeno e veia porta)1,9.
O diagnóstico pré-operatório definitivo da NSPP pode ser desafiador, por sua raridade, inespecificidade de sintomas e lista de diagnósticos diferenciais ampla, que abrange lesões císticas benignas e outras neoplasias pancreáticas8-10. A ultrassonografia abdominal, TC com contraste endovenoso e RNM são exames com utilidade na investigação diagnóstica pré-operatória9,10. Pode-se também fazer uso da punção aspirativa por agulha fina (PAAF) guiada por ultrassonografia endoscópica (USE), método que possui a vantagem de permitir uma análise histopatológica e imuno-histoquímica da neoplasia11. A despeito de apresentar baixa incidência de eventos adversos, Yamagochi et al14. descreveram um caso de implante metastático de NSPP no estômago de um paciente após a realização de uma PAAF por USE, sendo efetuada gastrectomia distal no caso relatado.
A utilidade diagnóstica e prognóstica de marcadores tumorais, como o CA 19-9 e o CEA, é limitada, pois na maioria dos pacientes os valores estão inalterados6.
A ressecção cirúrgica é o tratamento de escolha, devendo-se buscar preservar a maior quantidade possível de tecido pancreático sem perder a eficácia oncológica, objetivando evitar insuficiência pancreática. Em tumores na cabeça do pâncreas, a duodenopancreatectomia com preservação pilórica é uma técnica preferencial à cirurgia de Whipple convencional. Em lesões de colo e corpo do pâncreas, pode-se ressecar a parte média do órgão, preservando as demais estruturas. A ressecção em bloco é recomendada quando há extensão local extrapancreática, envolvendo a remoção da confluência da veia porta e da veia cava inferior, ou até mesmo dos vasos mesentéricos inferiores, se necessário8. Há também a enucleação, método que evita ressecções extensas13.
Além da raridade da NSPP, a abordagem videolaparoscópica dessa condição é ainda incomum, o que motivou a descrição deste relato por parte dos autores. Em uma revisão sistemática, Law et al. analisaram ressecções pancreáticas efetuadas em um total de 2.285 pacientes com NSPP. Entre estes, a cirurgia foi realizada por via aberta em 1.903 casos, em 39 casos foi empregada a técnica laparoscópica e em 343 casos não foi indicado o método12. A cirurgia videolaparoscópica é uma opção de tratamento associada a menor sangramento, menor tempo de IH e melhor resultado estético quando comparada à cirurgia aberta. Apesar dessas vantagens, a abordagem laparoscópica deve ser evitada em tumores de grande porte, especialmente quando há proximidade com grandes estruturas vasculares13.
A fístula pancreática é a complicação mais frequentemente observada na correção cirúrgica, podendo também ocorrer retardo no esvaziamento gástrico, pancreatite, hemorragia e/ou infecção6,8.
Até o momento, a radioterapia e a quimioterapia são opções terapêuticas de eficácia incerta em razão da pouca experiência de uso na NSPP8.
Em geral, a NSPP possui um excelente prognóstico, com cura sendo observada em mais de 95% dos pacientes submetidos à cirurgia com exérese completa da lesão12. Recorrência e invasão local não são contraindicações absolutas à ressecção, e, em casos selecionados, metástases também podem ser abordadas cirurgicamente. Em casos de irressecabilidade tumoral, a depender da viabilidade, a cirurgia citorredutora pode ser considerada10.
CONCLUSÃO
A NSPP afeta predominantemente pacientes jovens do sexo feminino, representando um desafio diagnóstico por sua raridade, ausência ou inespecificidade de sintomas na maioria dos pacientes e pela numerosa lista de diagnósticos diferenciais. A realização do tratamento cirúrgico por videolaparoscopia, quando factível, é associada a um resultado oncológico satisfatório e, em comparação à cirurgia aberta, a uma melhor recuperação no pós-operatório.
CONTRIBUIÇÕES
Ítalo de Souza Porto, José Nilo de Lima Filho, Levi Goyanna de Moura, Maria Paula Lopes Ponte Prado, Mário Vilâny Gomes Bonfim Oliveira e José Walter Feitosa Gomes contribuíram substancialmente na concepção e no planejamento do estudo; na obtenção, análise e interpretação dos dados; na redação e revisão crítica. Todos os autores aprovaram a versão final a ser publicada.
DECLARAÇÃO DE CONFLITO INTERESSES
Nada a declarar.
DECLARAÇÃO DISPONIBILIDADE DE DADOS
Todos os conteúdos subjacentes ao texto do artigo estão contidos no manuscrito.
FONTES DE FINANCIAMENTO
Não há.
REFERÊNCIAS
1. Omiyale AO. Solid pseudopapillary neoplasm of the pancreas. World J Hepatol. 2021;13(8):896-903. doi: https://doi.org/10.4254/wjh.v13.i8.896
2. Frantz VK. Tumors of the pancreas. Washington: Armed Forces Institute of Pathology, 1959.
3. Carlotto JRM, Torrez FRA, Gonzales AM, et al. Neoplasia sólida pseudopapilar de pâncreas. ABCD. 2016;29(2):93-6. doi: https://doi.org/10.1590/0102-6720201600020007
4. Farhat W, Ammar H, Said MA, et al. Solid pseudopapillary neoplasm of the pancreas: a report of 10 cases and literature review. ANZ Surg. 2020;90(9):1683-8. doi: https://doi.org/10.1111/ans.15701
5. Conselho Nacional de Saúde (BR). Resolução n° 466, de 12 de dezembro de 2012. Aprova as diretrizes e normas regulamentadoras de pesquisas envolvendo seres humanos [Internet]. Diário Oficial da União, Brasília, DF. 2013 jun 13 [acesso 2025 jun 15]; Seção I:59. Disponível em: https://bvsms.saude.gov.br/bvs/saudelegis/cns/2013/res0466_12_12_2012.html
6. Torres OJM, Rezende MB, Waechter FL, et al. Pancreatoduodenectomy for solid pseudopapillary tumor of the pancreas: a multi-institution study. ABCD. 2019;32(2):e1442. doi: https://doi.org/10.1590/0102-672020190001e1442
7. Kosmahl M, Seada LS, Harms UJD, et al. Solid–pseudopapillary tumor of the pancreas: its origin revisited. Virchows Arc. 2000;436(5):473-80. doi: https://doi.org/10.1007/s004280050475
8. Portela AR, Oliveira BRR, Carvalho MG, et al. Tumor sólido pseudopapilar do pâncreas (tumor de Frantz): estudo retrospectivo e revisão da literatura. GED, gastrenterol endosc digest. 2011;30(1):13-8.
9. Eric D, Milosavljevic V, Gonzalez-Urquijo M, et al. Laparoscopic enucleation of Frantz's tumor of the pancreas: case report and literature review. Ann Med and Surg. 2021:64:102221. doi: https://doi.org/10.1016/j.amsu.2021.102221
10. AlQattan AS, Alshaqaq HM, Abdrabalnabi AAA, et al. Huge solid pseudopapillary tumor of the pancreas ‘Frantz tumor’: a case report. J Gastrointes Oncol. 2020:11(5):1098-104. doi: https://doi.org/10.21037/jgo-20-180
11. Bardales RH, Centeno B, Mallery JS, et al. Endoscopic ultrasound-guided fine-needle aspiration cytology diagnosis of solid-pseudopapillary tumor of the pancreas: a rare neoplasm of elusive origin but characteristic cytomorphologic features. Am J Clin Pathol 2004;121(5):654-62. doi: https://doi.org/10.1309/dkk2-b9v4-n0w2-6a8q
12. Law JK, Ahmed A, Singh VK, et al. A systematic review of solid-pseudopapillary neoplasms: are these rare lesions? Pancreas. 2014;43(3):331-7. doi: https://doi.org/10.1097/mpa.0000000000000061
13. Namur GN, Ribeiro TC, Souto MM, et al. Cirurgia minimamente invasiva para tratamento da neoplasia pseudopapilar do pâncreas. ABCD. 2019; 29(2):97-101. doi: https://doi.org/10.1590/0102-6720201600020008
14. Yamaguchi H, Morisaka H, Sano K, et al. Seeding of a tumor in the gastric wall after endoscopic ultrasound-guided fine-needle aspiration of solid pseudopapillary neoplasm of the pancreas. Internal Medicine. 2020;59(6):779-82. doi: https://doi.org/10.2169/internalmedicine.3244-19
Recebido em 22/7/2025
Aprovado em 3/9/2025
Editora-científica: Anke Bergmann. Orcid iD: https://orcid.org/0000-0002-1972-8777
Este é um artigo publicado em acesso aberto (Open Access) sob a licença Creative Commons Attribution, que permite uso, distribuição e reprodução em qualquer meio, sem restrições, desde que o trabalho original seja corretamente citado.